このコーナーでは、2014年から先端テクノロジーの研究を論文単位で記事にしているWebメディア「Seamless」(シームレス)を主宰する山下裕毅氏が執筆。新規性の高い科学論文を山下氏がピックアップし、解説する。
X: @shiropen2
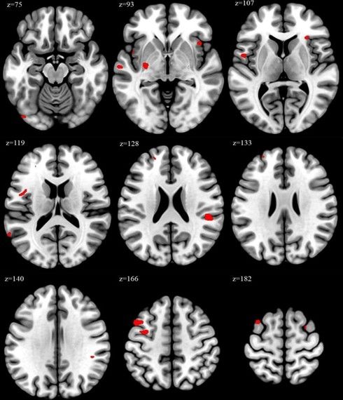
韓国の延世大学などに所属する研究者らが発表した論文「Overwork and changes in brain structure: a pilot study」は、過労が脳構造に与える影響を調査した研究報告だ。
この研究では、医療従事者110人(医師28人、看護師36人、その他の医療従事者46人)に参加してもらった。実験では週52時間以上働く「過労グループ」32人と、週52時間未満の「非過労グループ」78人に分け、脳のMRI検査を実施した。脳容積の差異はVBM(Voxel-Based Morphometry)と「アトラスベース解析」と呼ばれる方法を用いて評価した。
脳の構造を詳細に分析した結果、過労グループでは主に思考や計画立案、意思決定などの「実行機能」と、感情のコントロールに関わる脳領域の容積が増加していることが明らかになった。
具体的には、 アトラスベース解析では左尾側中前頭回という脳領域の容積が過労グループでは非過労グループより19%も大きかった。また、VBM解析では、中前頭回や島皮質、上側頭回を含む17の領域でピーク増加を観察できた。相関分析は、週労働時間と中前頭回、島皮質における脳容積変化の間に正の相関を示した。
研究チームはさらに、喫煙や飲酒、運動などの生活習慣要因を調整した感度分析も行った。その結果、左中前頭回と左ローランド弁蓋、左島皮質、左上前頭回における労働時間とVBMピーク値の関連は、これらの要因を調整した後も有意であった。このことは、観察できた脳構造変化が生活習慣要因だけでは完全に説明できないことを示している。
Source and Image Credits: Jang W, Kim S, Kim Y, et al. Occup Environ Med Epub ahead of print: [please include Day Month Year]. doi:10.1136/ oemed-2025-110057
若い頃のいじめ被害→長年にわたって脳構造が変化 2000人以上を調査 男女で異なる変化も
死ぬ瞬間、人間は何を考えているのか? 死亡間際の脳波を分析した22年の研究例 走馬灯との関連は
人間の認知能力は老化ではなく“脳を使わない”と低下 米国チームが発表 使う人は65歳でも低下せず
ノンカロリー人工甘味料は砂糖より“空腹感”を与える MRIで75人の脳を調査 海外の研究者らが検証
人間の脳がガラスに──火山噴火で埋まった古代ローマ都市、遺体の頭蓋骨に“黒曜石”似の物質 海外チームが分析Copyright © ITmedia, Inc. All Rights Reserved.
Special
PR