ITmedia NEWS >

Innovative Tech

2019年にスタートした本連載「Innovative Tech」は、世界中の幅広い分野から最先端の研究論文を独自視点で厳選、解説している。執筆は研究論文メディア「Seamless」(シームレス)を主宰し、日課として数多くの論文に目を通す山下氏が担当。イラストや漫画は、同メディア所属のアーティスト・おね氏が手掛けている。

Innovative Tech:

東京大学に所属する研究者らがCHI 2026で発表した論文「Touching a Cat Without Touch: Does Mid-Air Ultrasound Haptic Feedback Promote Relaxation in Virtual Cat Interaction?」は、空中超音波を使ってVR空間の猫と触れ合う体験を開発し、そのリラックス効果を検証した研究報告だ。

[山下(Seamless), ITmedia] ()
Innovative Tech:

スペインのバスク大学や英カーディフ大学などに所属する研究者らが発表した論文「Why are all LLMs Obsessed with Japanese Culture? On the Hidden Cultural and Regional Biases of LLMs」は、一部のAIモデルが文化的な話題において日本文化に強い執着を見せることが明らかにした研究報告だ。

[山下(Seamless), ITmedia] ()
ちょっと昔のInnovative Tech:

米カリフォルニア大学サンフランシスコ校などに所属する研究者らがNature Aging誌で発表した論文「Targeting iron-associated protein Ftl1 in the brain of old mice improves age-related cognitive impairment」は、脳の老化を促進する「FTL1」と呼ばれるタンパク質を特定し、その量

[山下(Seamless), ITmedia] ()
ちょっと昔のInnovative Tech:

中国の電子科技大学などに所属する研究者らがBrain Sciences誌に発表した論文「Effects of Video Game Type on Cognitive Performance and Brain Functional Connectivity: A Longitudinal EEG Study」は、ビデオゲームのジャンルによって脳にどのような影響を及ぼすのかを分析した研究報告だ。

[山下(Seamless), ITmedia] ()
Innovative Tech:

大阪公立大学大学院の研究グループが学術誌「Molecular Nutrition & Food Research」で発表した論文「Wheat Flour Intake Promotes Weight Gain and Metabolic Changes in Mice」は、主食として日常的に食べられているパンや小麦粉、米粉への偏った摂取が、食べ過ぎていなくても体重増加や代謝異常を引き起こす可能性をマウス実験で示した研究報告だ。

[山下(Seamless), ITmedia] ()
ちょっと昔のInnovative Tech:

米ベス・イスラエル・ディーコネス医療センターなどに所属する研究者らが2025年11月に発表した論文「Unraveling the gastrointestinal tract’s response to alcohol binges: Neutrophil recruitment, neutrophil extracellular traps, and intestinal injury」は、短期間の大量飲酒(ビンジ飲酒)が腸の炎症を引き起こす新たなメカニズムを明らかにした研究報告だ。

[山下(Seamless), ITmedia] ()
Innovative Tech:

日本獣医生命科学大学に所属する研究者らが発表した論文「猫草としてのイネ科植物への味覚分析手法の応用」は、ネコが「猫草」を好んで食べる理由を味覚の観点から探った研究報告だ。

[山下(Seamless), ITmedia] ()
Innovative Tech:

中国の香港理工大学や香港中文大学などに所属する研究者らが発表した論文「Hiding an Ear in Plain Sight: On the Practicality and Implications of Acoustic Eavesdropping with Telecom Fiber Optic Cables」は、通信データではなく、光ファイバー自体を振動センサーとして悪用し、周囲の音を盗聴するサイドチャネル攻撃を提案した研究報告だ。

[山下(Seamless), ITmedia] ()
Innovative Tech:

東海大学、理化学研究所、神戸大学の共同研究グループがNature Communicationsで発表した論文「Targeting notch signaling to restore neural development and behavior in mouse models of ASD」は、自閉スペクトラム症(ASD)の新たな発症メカニズムを解明した研究報告だ。

[山下(Seamless), ITmedia] ()

名古屋市立大学や金沢大学による共同研究グループは、内視鏡(胃カメラ)を使わずに胃の内部を立体的に観察できる「バーチャル内視鏡検査法」を発表した。

[山下(Seamless), ITmedia] ()
Innovative Tech:

米アリゾナ州立大学などに所属する研究者らが学術誌「American Journal of Audiology」で発表した論文「Apple AirPods Pro 2 Live Listen as an Assistive Listening Device」は、AppleのAirPods Pro 2が搭載する聴覚補助機能「ライブリスニング」が、騒音下における高齢者の音声認識や記憶の保持に貢献することを明らかにした研究報告だ。

[山下(Seamless), ITmedia] ()
Innovative Tech:

東芝 総合研究所社などに所属する研究者らが米国物理学会の学術誌「Physical Review Applied」で発表した論文「Edge-of-chaos-enhanced quantum-inspired algorithm for combinatorial optimization」は、膨大な選択肢の中から最適な答えを見つけ出す「量子インスパイアード組合せ最適化計算機」の性能を飛躍的に高める新アルゴリズムを発表した研究報告だ。

[山下(Seamless), ITmedia] ()
ちょっと昔のInnovative Tech:

慶應義塾大学、早稲田大学、京都大学大学院に所属する研究者らが国際学術誌「International Journal of Epidemiology」で2025年11月に発表した論文「Heterogeneity in the association between retirement and cognitive function: a machine learning analysis across 19 countries」は、高齢期における仕事からの引退が脳に与える影響を調査した研究報告だ。

[山下(Seamless), ITmedia] ()
Innovative Tech:

英ヨーク・セント・ジョン大学などに所属する研究者らが発表した論文「High Trait Procrastination Predicts Increased Goal Anxiety Despite Invariance in Simulation of Goal Achievement」は、先延ばし癖(プロクラスティネーション)の背後にある心理的メカニズムに新知見が得られた研究報告だ。

[山下(Seamless), ITmedia] ()
ちょっと昔のInnovative Tech:

米ウェイン州立大学に所属する研究者らが発表した論文「A Time to Unwind or Despair? Decoding the Impact of Commuting Duration on Psychological Distress」は、通勤時間と労働者のメンタルヘルスの関係を調査した研究報告だ。

[山下(Seamless), ITmedia] ()
Innovative Tech:

米バイオテクノロジー企業Applied Cognitionや米ワシントン州立大学などに所属する研究者らが発表した論文「Pharmacological enhancement of glymphatic function in humans increases the clearance of Alzheimer’s disease-related proteins」は、睡眠中の脳に備わる老廃物排出システムを薬で強化し、アルツハイマー病の原因タンパク質の排出を促進できることを人間で初めて実証した研究報告だ。

[山下(Seamless), ITmedia] ()
Innovative Tech:

米ワシントン大学などに所属する研究者らがScienceで発表した論文「Targeting amyloid-β pathology by chimeric antigen receptor astrocyte (CAR-A) therapy」は、一度の投薬で脳の細胞を改造して、アルツハイマー病の原因となるごみを掃除させる新しい治療法を提案した研究報告だ。

[山下(Seamless), ITmedia] ()
Innovative Tech:

米ペンシルベニア大学や米スタンフォード大学、Arc Instituteなどに所属する研究者らがNature誌で発表した論文「Intestinal interoceptive dysfunction drives age-associated cognitive decline」は、加齢に伴う記憶力の低下は、脳だけの問題ではなく、腸内環境が大きく関わっていることを明らかにした研究報告である。

[山下(Seamless), ITmedia] ()
Innovative Tech:

韓国科学技術院に所属する研究者らが発表した論文「“Oops! ChatGPT is Temporarily Unavailable!”: A Diary Study on Knowledge Workers’ Experiences of LLM Withdrawal」は、ChatGPTなどの大規模言語モデル(LLM)を日常的に使い込んでいる知識労働者10人に、4日間の“LLM断ち”を課す日記調査を実施した研究報告だ。

[山下(Seamless), ITmedia] ()
Innovative Tech:

米Metaなどに所属する研究者らが発表した論文「A foundation model of vision, audition, and language for in-silico neuroscience」は、人間の脳活動を予測する基盤モデル「TRIBE v2」を発表した研究報告だ。

[山下(Seamless), ITmedia] ()
Innovative Tech:

大阪大学大学院に所属する研究者らが科学誌「PLOS ONE」で発表した論文「Beyond the baby schema: Objects being touched are perceived to be cute」は、人が触れているぬいぐるみは、触れていない状態よりもかわいく見えることを実証した研究報告だ。

[山下(Seamless), ITmedia] ()
Innovative Tech:

北陸先端科学技術大学院大学に所属する研究者らが発表した論文「比較低関心度状況の生成による先延ばし行動抑制効果の検証」は、人をあえて退屈な環境に身を置かせることで、面倒な作業への着手を促す逆転の手法を提案した研究報告だ。

[山下(Seamless), ITmedia] ()
Innovative Tech:

韓国科学技術院などに所属する研究者らが発表した論文「Ribonuclease κ promotes longevity by preventing age-associated accumulation of circular RNA in stress granules」は、とある酵素が加齢に伴って蓄積する特定のRNA(リボ核酸)を分解し、生物の健康長寿を促すメカニズムを解明した研究報告だ。

[山下(Seamless), ITmedia] ()
Innovative Tech:

スペインのマドリード自治大学や日本の金印(わさびなどを販売する食品メーカー)などに所属する研究者らは、本ワサビに含まれる成分がアルツハイマー病などの神経変性疾患の進行を食い止める可能性があるという研究報告を発表した。

[山下(Seamless), ITmedia] ()
Innovative Tech:

筑波大学とアサヒ飲料株式会社に所属する研究者らは、カフェインも糖分も含まない無糖の炭酸水が、長時間のeスポーツプレイによる認知疲労を軽減する有効な手段となることが示された研究報告を発表した。

[山下(Seamless), ITmedia] ()
Innovative Tech:

スウェーデンのウプサラ大学に所属する研究者らは、食物繊維の摂取量が多い夜勤従事者ほど心臓病のリスクが低い傾向にあることを示した研究報告を発表した。

[山下(Seamless), ITmedia] ()
Innovative Tech:

東京大学大学院に所属する研究者らがは、「コク」と「キレ」の両立を実現する特殊なグラスを開発した研究報告を発表した。

[山下(Seamless), ITmedia] ()
Innovative Tech:

ブルームバーグなどの報道によると、オーストラリアのスタートアップ企業であるCortical Labsは、人間の脳細胞を動力源とする初の生物学的データセンターをオーストラリアのメルボルンと、シンガポールに建設中という。

[山下(Seamless), ITmedia] ()
Innovative Tech:

米ハーバード大学や米マサチューセッツ総合病院などに所属する研究者らは、1日2〜3杯のカフェイン入りコーヒー、あるいは1〜2杯の紅茶を飲む習慣が、認知症の発症リスクを低下させる可能性があるとする研究報告を発表した。

[山下(Seamless), ITmedia] ()
Innovative Tech:

米ベス・イスラエル・ディーコネス医療センターなどに所属する研究者らは、トイレでのスマートフォン使用と痔の有病率との関連を調べた研究報告を発表した。

[山下(Seamless), ITmedia] ()
Innovative Tech:

和歌山大学に所属する研究者らは、水がこぼれるリスクを用いて、デスクワーカーに強制的に水分摂取を促すデバイスを開発した研究報告を発表した。

[山下(Seamless), ITmedia] ()
Innovative Tech:

スイスのチューリッヒ大学などに所属する研究者らは、頭皮上から脳へ微弱な電気刺激を与えることで、利他的行動を促進できることを実証した研究報告を発表した。

[山下(Seamless), ITmedia] ()
Innovative Tech:

奈良女子大学などに所属する研究者らは、月経痛体験装置による痛みの再現性を確かめ、感じ方に生じる個人差の要因を検討した研究報告を発表した。

[山下(Seamless), ITmedia] ()
Innovative Tech:

東北大学や京都大学、岩手医科大学に所属する研究者らは、日本の一般住民6万人以上のデータを解析し、社会的孤立に関与する遺伝的特徴を東アジアで初めて明らかにした研究報告を発表した。

[山下(Seamless), ITmedia] ()
Innovative Tech:

世界的権威を持つ学術誌「Nature」は、誕生30周年を迎えた「ポケットモンスター」を祝う記事を掲載し、この世界的な広まりが科学界に与えてきた多大な影響を振り返った。

[山下(Seamless), ITmedia] ()
Innovative Tech:

厚生労働省は、2016年にがんと診断された患者の経過を追跡した「全国がん登録 5年生存率報告」を公表した。

[山下(Seamless), ITmedia] ()
Innovative Tech:

ドイツのザールラント大学とドイツのベルリン国立博物館群に所属する研究者らは、旧石器時代の記号が初期の文字に匹敵する情報量を持っていたことを明らかにした研究報告を発表した。

[山下(Seamless), ITmedia] ()
Innovative Tech:

米ニューヨーク大学や米ユタ州立大学などに所属する研究者らは、生活にストレスをもたらす負の人間関係が、細胞レベルでの老化を実際に加速させるリスク要因であることを明らかにした研究報告を発表した。

[山下(Seamless), ITmedia] ()
Innovative Tech:

米ニューヨーク州立大学バッファロー校や米スタンフォード大学などに所属する研究者らは、高齢女性において筋力の高さが死亡リスクの有意な低下と関連していることが明らかになった研究報告を発表した。

[山下(Seamless), ITmedia] ()
Innovative Tech:

カナダのトロント大学に所属する研究者らは、日々の認知機能の変動が目標達成にどう影響するかを分析した研究報告を発表した。

[山下(Seamless), ITmedia] ()
Innovative Tech:

英ケンブリッジ大学などに所属する研究者らは、たった45塩基の短いRNAが自己複製能力を持つことを実証した研究報告を発表した。

[山下(Seamless), ITmedia] ()
ちょっと昔のInnovative Tech:

2022年、米海軍兵学校の士官候補生7人が、卒業研究プロジェクトとして移動式レールガンシステムを開発した。

[山下(Seamless), ITmedia] ()
Innovative Tech:

米UCバークレーに所属するモハンマド・レザ・アラム教授は、もし流体の粘性がこの世界から消えたら何が起こるかを考察した研究報告だ。

[山下(Seamless), ITmedia] ()
Innovative Tech:

イタリアのカメリーノ大学などに所属する研究者らは、睡眠不足が脳にどのような影響を与えるのかを調査した研究報告を発表した。

[山下(Seamless), ITmedia] ()
ちょっと昔のInnovative Tech:

ポーランドのアスビロ大学などに所属する研究者らは2022年、髪を不自然な色に染めることとメンタルヘルスの関連性を調査した研究を発表した。

[山下(Seamless), ITmedia] ()
Innovative Tech:

フィンランドのオウル大学などに所属する研究者らがは、若いころに運動をしていても、中年期にやめてしまえばその効果は維持されず、継続的な活動こそが健康維持の鍵であることを裏付けた研究報告を発表した。

[山下(Seamless), ITmedia] ()
Innovative Tech:

ニュージーランドのオークランド大学に所属する数学者であるローレン・D・スミスさんは、病気の子どもを一定数保育施設に留めておくことで、他の子に感染、欠席させて保育施設の利益を最大化できることを示した研究報告を発表した。

[山下(Seamless), ITmedia] ()
ちょっと昔のInnovative Tech:

中国の北京生命科学研究所などに所属する研究者らは2018年、哺乳類の狩りと逃避行動を制御する脳の仕組みを解明した研究報告だ。

[山下(Seamless), ITmedia] ()
Innovative Tech:

中国の華中科技大学に所属する研究者らは、がんとアルツハイマー病の逆相関関係の分子メカニズムを解明した研究報告を発表した。

[山下(Seamless), ITmedia] ()
Innovative Tech:

東邦大学などの研究グループは、日本近海に生息するマンボウとヤリマンボウの寄生虫調査を実施した。合計10種の吸虫を発見し、そのうち4種が新種であることを明らかにした。

[山下(Seamless), ITmedia] ()
Innovative Tech:

米カリフォルニア大学サンフランシスコ校に所属する研究者らは、老化した細胞を若返らせる「スイッチ」を発見するシステムを開発した研究報告を発表した。

[山下(Seamless), ITmedia] ()
Innovative Tech:

中国科学院などに所属する研究者らは、40Hzの聴覚刺激を与えることがアルツハイマー病の非侵襲的治療法として有効である可能性を、世界で初めて霊長類を用いて実証した研究報告を発表した。

[山下(Seamless), ITmedia] ()
Innovative Tech:

北海道大学大学と日本ハムに所属する研究者らは、かみ応えのある食肉加工品を継続的に摂取することで、高齢者の口腔機能低下が改善する可能性を示す研究報告を発表した。

[山下(Seamless), ITmedia] ()
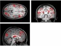
Innovative Tech:

順天堂大学大学院医学研究科の西岡将基准教授、加藤忠史教授らの国際共同研究グループは、双極症(双極性障害)の病態において、原因とされる脳部位を明らかにした研究論文を発表した。

[山下裕毅, ITmedia] ()
Innovative Tech:

米エモリー大学に所属する研究者らは、ウイルス感染状況をより正確に把握するために、「人々はどこでトイレに行くのか」を都市規模でシミュレーションした研究報告を発表した。

[山下裕毅, ITmedia] ()
Innovative Tech:

英インペリアル・カレッジ・ロンドン(ICL)に所属する研究者らは、霊長類における同性間性行動の進化的・生態的要因を解明した研究報告を発表した。

[山下裕毅, ITmedia] ()
Innovative Tech:

フランスのパリ=サクレー大学に所属する物理学者のマーク・バルテルミーさんは、チェスの標準的な初期配置が本当に最適なのか、960通りの可能性からどの配置が複雑(難しい)か、公平かを検証した研究報告を発表した。

[山下裕毅, ITmedia] ()
Innovative Tech:

中国の新郷医学院第一付属医院などに所属する研究者らは、筋力と認知症発症リスクの関連性を調査した研究報告を発表した。

[山下裕毅, ITmedia] ()
Innovative Tech:

米国の数学者であるC. エヴァンス・ヘッジズさんは、π(円周率)はいつかポケモンをクリアできるかという問いに、数学で挑んだ研究報告を発表した。

[山下裕毅, ITmedia] ()
Innovative Tech:

カナダのモントリオール大学などに所属する研究者らは、カフェインが睡眠中の脳の複雑性を増大させ、その影響は若年層と中年層で異なることを明らかにした研究報告を発表した。

[山下裕毅, ITmedia] ()
Innovative Tech:

現代社会において、働き方と健康の関係は私たちの人生の質を左右する重要なテーマだ。今回は、日本と海外の最新研究から、働き方と健康の関係について新たな視点を提供する4つの研究成果を紹介する。

[山下裕毅, ITmedia] ()
Innovative Tech:

米MITと米ボストン大学に所属する研究者らは、量子力学で知られる「アハラノフ・ボーム効果」(AB効果)の類似現象を、振動する油面上を移動する液滴を用いた古典的な系で観測することに成功した研究報告を発表した。

[山下裕毅, ITmedia] ()
Innovative Tech:

英ポーツマス大学などに所属する研究者らは、90年前にアインシュタインとローゼンが予見した「時空をつなぐ数学的な橋」を新理論で再検討し、宇宙最古の光で検証した研究報告を発表した。

[山下裕毅, ITmedia] ()
Innovative Tech:

米ワシントン大学や米ロチェスター大学などに所属する研究者らは、脳の老廃物排出と免疫監視に関する最新の知見をまとめた報告を発表した。

[山下裕毅, ITmedia] ()
Innovative Tech:

上海交通大学などに所属する研究者らは、体重2kgを超える大型鳥であるガチョウが、助走も高所からの飛び降りもなしに静止状態から飛び立てる仕組みを、翼の運動パターンと空気力学の両面から解明した研究報告を発表した。

[山下裕毅, ITmedia] ()
Innovative Tech:

筑波大学の柳沢正史教授らの研究グループは、スマートフォンの睡眠アプリ「ポケモンスリープ」(Pokemon Sleep)の日本の利用者約8万人、計210万夜分の睡眠データを解析し、睡眠パターンと労働生産性の関連を明らかにした研究報告を発表した。

[山下裕毅, ITmedia] ()
Innovative Tech:

電気通信大学の梶本研究室に所属する研究者らは、VRを活用した新たな痛み軽減手法を開発した研究報告を発表した。

[山下裕毅, ITmedia] ()
Innovative Tech:

ドイツのカイザースラウテルン・ランダウ工科大学などに所属する研究者らは、科学、音楽、スポーツなど複数分野における世界的トップパフォーマーの発達過程を体系的にレビューした研究報告を発表した。

[山下裕毅, ITmedia] ()
Innovative Tech:

米国在住の物理学者であるルイス・バターリャさんは、1990年公開の映画「ホーム・アローン」に関する論文を発表した。家族全員が、主人公の少年・ケビンを置き去りにするような寝坊は、どれほどあり得る話なのか確率を計算し、自身のXで公開した。

[山下裕毅, ITmedia] ()
Innovative Tech:

中国の香港城市大学などに所属する研究者らは、VR環境においてリアルな食感を再現するための空気圧を用いた顔装着型デバイスを提案した研究報告を発表した。

[山下裕毅, ITmedia] ()
Innovative Tech:

米ハーバード大学などに所属する研究者らは、「生きた化石」と呼ばれる古代植物ソテツが、自らの生殖器官を加熱して甲虫を引き寄せ、受粉に利用していることを発見した研究報告を発表した。

[山下裕毅, ITmedia] ()
Innovative Tech:

6月、1本の論文がarXiv(物理学や数学などの論文プレプリントサーバ)に公開された。著者のMiki Imura氏は、学術機関に所属する研究者ではなく、普通の会社員だ。

[山下裕毅, ITmedia] ()
Innovative Tech:

ドイツのシャリテ・ベルリン医科大学などに所属する研究者らは、HIV(Human Immunodeficiency Virus、ヒト免疫不全ウイルス)患者が高い可能性で寛解した新しい症例が示された研究報告を発表した。

[山下裕毅, ITmedia] ()
Innovative Tech:

英ブリストル大学などに所属する研究者らは、電子顕微鏡で調べた竜脚類恐竜の皮膚の化石には、動物の鮮やかな色を作り出すメラノソームと呼ばれる構造が示唆された研究報告を発表した。

[山下裕毅, ITmedia] ()
Innovative Tech:

米ハーバード大学と香港大学、米シカゴ大学に所属する研究者らは、中国で学生時代に論文の盗作(剽窃)をした人は、その後どんな社会人になるのかを調査した研究報告を発表した。

[山下裕毅, ITmedia] ()
Innovative Tech:

米ノースウェスタン大学などに所属する研究者らは、光を使って脳に直接情報を送り込む、低侵襲かつ完全埋め込み型無線デバイスの開発に成功した研究報告を発表した。

[山下裕毅, ITmedia] ()
Innovative Tech:

オーストラリアのグリフィス大学に所属する研究者らは、TikTokやInstagram Reels、YouTube Shortsといった短編動画プラットフォームの急速な普及が、認知機能と精神健康にどのような影響を与えているのかを分析した研究報告を発表した。

[山下裕毅, ITmedia] ()
Innovative Tech:

米NASAゴダード宇宙飛行センターなどによる研究チームは、太陽系の外から飛来した彗星「3I/ATLAS」から生命の材料となりうる有機分子が検出された研究報告を発表した。

[山下裕毅, ITmedia] ()
ちょっと昔のInnovative Tech:

米ジョージアサザン大学などに所属する研究者らは2024年、講義中に手書きでノートを取るのと、タイピングでPCに記録するとではどちらが学習効率が良いのかを分析した研究報告を発表した。

[山下裕毅, ITmedia] ()
Innovative Tech:

英ケンブリッジ大学などの研究者らは、人間の脳が一生を通じて変化し続けるものの、その変化は一定のペースで進むわけではなく、4つの重要な転換点が存在することを明らかにした研究報告を発表した。

[山下裕毅, ITmedia] ()
Innovative Tech:

イエネコ(家猫)はいつ、どこから世界に広がったのか。この問いに対する答えが、最新の2つの研究によって塗り替えられようとしている。

[山下裕毅, ITmedia] ()
Innovative Tech:

オーストリアのウィーン大学などに所属する研究者らは、 世界最大のインスタントメッセージングサービス「WhatsApp」で深刻なプライバシー脆弱性が明らかになった研究報告を発表した。

[山下裕毅, ITmedia] ()
ちょっと昔のInnovative Tech:

京都大学と慶應義塾大学に所属する研究者らは3月、日本の公共図書館とその街に住む高齢者の機能障害リスクの関係を調査した研究報告を発表した。

[山下裕毅, ITmedia] ()
Innovative Tech:

現代のデジタル社会において、動画コンテンツの倍速視聴は日常的な光景となった。時間効率を重視する人にとって、これは魅力的な選択肢であるが、果たして倍速視聴は本当に効率的な学習方法なのだろうか。

[山下裕毅, ITmedia] ()
Innovative Tech:

イタリアのサクロ・クオーレ・カトリック大学に所属する研究者らは、バットマンのコスチュームを着た人物が地下鉄の車内に現れると、妊婦に席を譲る乗客が増えるかを検証した研究報告を発表した。

[山下裕毅, ITmedia] ()
Innovative Tech:

ドイツのユリウス・マクシミリアン大学ヴュルツブルクなどに所属する研究者らは、女性の月経周期と月の満ち欠けの関係を調査した研究報告を発表した。

[山下裕毅, ITmedia] ()
Innovative Tech:

香港大学などの研究者らは、脳表面上の広い面積に電極シートを配置できる低侵襲術式を提案したプレプリントを発表した。

[山下裕毅, ITmedia] ()
Innovative Tech:

英国では、データセンターの廃熱を活用した家庭暖房システムの実証実験を開始している。英国の電力供給事業者・UK Power Networksが主導して、英エセックスの夫婦が国内初の試験導入者となり、光熱費削減を実現した。

[山下裕毅, ITmedia] ()
Innovative Tech:

オーストリアのザルツブルク大学とニュージーランドのオークランド大学に所属する研究者らは、断食状態と満腹状態での認知パフォーマンスを比較し、断食が認知機能に与える影響を調査した研究報告を発表した。

[山下裕毅, ITmedia] ()
Innovative Tech:

米UCバークレーや米カーネギーメロン大学などに所属する研究者らは、Androidデバイスにおける新たな脅威として、画面上のピクセル情報を盗み取る攻撃手法「Pixnapping」を提案した研究報告を発表した。

[山下裕毅, ITmedia] ()
Innovative Tech:

英インペリアル・カレッジ・ロンドン(ICL)などの研究者らは、脳が覚醒状態から睡眠状態へと切り替わるプロセスを数学的アプローチで解析した研究報告を発表した。

[山下裕毅, ITmedia] ()
Innovative Tech:

英ノッティンガム大学などに所属する研究者らは、歯のエナメル質を修復・再生できるゲル素材を開発した研究報告を発表した。

[山下裕毅, ITmedia] ()
Innovative Tech:

英ケンブリッジ大学と米Metaに所属する研究者らは、人間の目はどこまで解像度を見分けられるのかという限界値、いわゆる「網膜解像度」が、従来信じられていたよりも高いことを明らかにした研究報告を発表した。

[山下裕毅, ITmedia] ()
ちょっと昔のInnovative Tech:

当時東北大学に所属していた五十嵐彰さん(現:大阪大学 人間科学研究科 准教授)は2018年、日本社会において配偶者以外との性的関係、いわゆる不倫は誰が行うのかを分析した研究報告を発表した。

[山下裕毅, ITmedia] ()
Innovative Tech:

中国海洋大学とシンガポールの南洋理工大学に所属する研究者らは、車外からフロントガラスに小型デバイスを取り付けることで、車内の音声アシスタントを不正に操作できることを実証した研究報告を発表した。

[山下裕毅, ITmedia] ()
Innovative Tech:

東京大学とソニーCSL京都に所属する研究者らがは、既存の使い捨てマスクに取り付けるだけでピンマイクにする小型クリップ「MaskClip」を提案した研究報告を発表した。

[山下裕毅, ITmedia] ()
Innovative Tech:

米カリフォルニア大学サンディエゴ校と米メリーランド大学に所属する研究者らは、安価な市販機器で静止軌道衛星の通信を傍受できることを実証した研究報告だ。

[山下裕毅, ITmedia] ()
Innovative Tech:

青山学院大学理工学部伊藤研究室に所属する学生らは、VR技術を用いて髪の毛を自在に操る感覚を再現するヘルメット型デバイスを提案した研究報告を発表した。

[山下裕毅, ITmedia] ()
Innovative Tech:

西オーストラリア大学とポーランドのワルシャワ大学に所属する研究者らは、従来の「若さこそが能力のピーク」という通念を翻し、中年期における人間の機能的優位性を実証した研究報告だ。

[山下裕毅, ITmedia] ()
Innovative Tech:

筑波大学 落合陽一研究室(Digital Nature Group)に所属する研究者らは、スマートフォンのカメラで自分の姿を撮影するだけで、わずか5分で写実的な3Dアバターを作成できる技術を提案した研究報告を発表した。

[山下裕毅, ITmedia] ()
ちょっと昔のInnovative Tech:

オランダのマーストリヒト大学などに所属する研究者らは2017年、冒涜的な言葉遣いと人格特性の関係を調査した研究報告を発表した。

[山下裕毅, ITmedia] ()
Innovative Tech:

英国のWellcome Sanger Instituteなどに所属する研究者らは、精子の遺伝子変異を詳しく調べた研究により、父親の年齢が上がるにつれて子供に病気を引き起こす可能性のある変異が増えるという研究報告を発表した。

[山下裕毅, ITmedia] ()
ちょっと昔のInnovative Tech:

オーストラリアのモナシュ大学などに所属する研究者らは2023年、光への曝露パターンと精神疾患の関連が明らかになった研究報告を発表した。

[山下裕毅, ITmedia] ()
Innovative Tech:

カナダのコンコーディア大学やシンガポール国立大学などに所属する研究者らは、770人の健康な若年成人を対象に、睡眠パターンと健康、認知、ライフスタイルを統合的に分析し、5つのタイプに分類されることを特定した研究報告を発表した。

[山下裕毅, ITmedia] ()
Innovative Tech:

台湾の弘光科技大学やSchweitzer Biotech Companyに所属する研究者らは、開発した頭皮ケア製品が、わずか2カ月で髪を太く、濃くし、抜け毛を大幅に減らすことを実証した研究報告を発表した。

[山下裕毅, ITmedia] ()
Innovative Tech:

米ジョージア工科大学などに所属する研究者らがは、3Dプリンティングプロセスを撮影した動画1本を解析することで、製造物の設計情報を盗み出す攻撃手法を実証した研究報告を発表した。

[山下裕毅, ITmedia] ()
Innovative Tech:

米オレゴン健康科学大学に所属する研究者らは、体細胞から機能的な卵子を作製する技術を発表した研究報告を発表した。

[山下裕毅, ITmedia] ()
Innovative Tech:

中国の首都医科大学や中国科学院などの研究者らは、特殊な幹細胞を使ってサルを若返らせることに成功したという研究報告を発表した。

[山下裕毅, ITmedia] ()
Innovative Tech:

東京大学に所属する研究者らは、キーの配置を自由に変更できるキーボードシステムを開発した研究報告を発表した。

[山下裕毅, ITmedia] ()
Innovative Tech:

香港理工大学やシンガポール国立大学に所属する研究者らは、体の異なる部位における脂肪蓄積が脳の健康と認知機能に与える影響を調査した研究報告を発表した。

[山下裕毅, ITmedia] ()
ちょっと昔のInnovative Tech:

米ロサンゼルスに住む研究者Jeff McQuillan氏は2020年、ハリー・ポッターシリーズを読むことで教科書に登場する学術英単語を効率的に習得できることを示した研究を発表した。

[山下裕毅, ITmedia] ()
Innovative Tech:

北海道大学に所属する中村聖さんは、きょうだい数と出生順位が学力にどのような影響を及ぼすかを検証した研究報告を発表した。

[山下裕毅, ITmedia] ()
Innovative Tech:

中国の吉林大学や上海科技大学などに所属する研究者らは、ランタン・スカンジウム合金と水素化合物を超高圧下で反応させることで、約25℃付近で電気抵抗がゼロになる超電導体「LaSc2H24」の合成に成功したと報告している。

[山下裕毅, ITmedia] ()
Innovative Tech:

物理学者たちが料理の分野に足を踏み入れると、意外な発見が生まれる。温度や圧力、摩擦、流体力学といった物理現象を料理に応用した6つの調理法を取り上げたい。

[山下裕毅, ITmedia] ()
Innovative Tech:

スペインのJosep Carreras Leukaemia Research Instituteなどに所属する研究者らは、2024年8月に117歳で亡くなった世界最高齢者マリア・ブラニャス・モレラさんの生物学的特性を包括的に解析した研究報告を発表した。

[山下裕毅, ITmedia] ()
Innovative Tech:

米カリフォルニア大学アーバイン校に所属する研究者らは、コンピュータマウスの光学センサーを利用した新たな盗聴攻撃手法「Mic-E-Mouse」を提案した研究報告を発表した。

[山下裕毅, ITmedia] ()
ちょっと昔のInnovative Tech:

ポーランドのヴロツワフ大学と英スターリング大学に所属する研究者らは、女性の胸部に対する男性の性的関心について調査した研究報告を発表した。

[山下裕毅, ITmedia] ()
Innovative Tech:

名城大学に所属する学生チームは、自然界最強のパンチを放つモンハナシャコの打撃を体験できるVRシステムを開発した研究報告を発表した。

[山下裕毅, ITmedia] ()
Innovative Tech:

オランダのアムステルダム大学医療センターなどに所属する研究者らは、生涯にわたって性的経験を持たない人々の特徴を明らかにした研究報告を発表した。

[山下裕毅, ITmedia] ()
Innovative Tech:

台湾の国立陽明交通大学や、台湾の液晶パネルメーカーのInnoluxなどに所属する研究者らは、テンプルにあるボタン1つの電子制御で度数が変わる遠近両用メガネを提案した研究報告を発表した。

[山下裕毅, ITmedia] ()
Innovative Tech:

オランダのAMOLF研究所とナノリソグラフィー先端研究センター(ARCNL)などに所属する研究者らは、従来の物理的直感に反する「引っ張ると縮む」という機構を提案した研究報告を発表した。

[山下裕毅, ITmedia] ()
Innovative Tech:

名古屋大学大学院 佐藤・小川研究室に所属する研究者らは、プロの漫才師が創作したネタのせりふや演じ方を画面上にカラオケのように表示し、漫才の実演を支援するシステムを提案した研究報告を発表した。

[山下裕毅, ITmedia] ()
ちょっと昔のInnovative Tech:

オランダのトゥヴェンテ大学などに所属する研究者らは2011年、膀胱に尿がたまってトイレを我慢している状態が、実は無関係な領域での自己制御能力を高めることを示した研究報告だ。2011年のイグノーベル医学賞を受賞している。

[山下裕毅, ITmedia] ()
Innovative Tech:

オーストラリアのモナッシュ大学などに所属する研究者らは、毎日同じ時間に寝る習慣が、睡眠時間の長さよりも死亡リスクを低くすることを明らかにした研究報告を発表した。

[山下裕毅, ITmedia] ()
Innovative Tech:

米国のバイオ医薬品企業Mind Medicineの研究者らは、LSDを医薬品として精製した「MM120」による臨床試験結果を発表した研究報告を発表した。

[山下裕毅, ITmedia] ()
Innovative Tech:

英オックスフォード大学や英ノッティンガム大学などに所属する研究者らは、老化抑制薬として注目される「ラパマイシン」がこれまで知られていなかった新たなメカニズムで寿命延長効果をもたらすことを発見した研究報告だ。

[山下裕毅, ITmedia] ()
Innovative Tech:

米国の宇宙望遠鏡科学研究所 などに所属する研究者らは、ジェイムズ・ウェッブ宇宙望遠鏡(JWST)が、地球から約40光年離れた恒星「TRAPPIST-1」の周りを回る惑星「TRAPPIST-1e」の大気観測に関する新たな成果を発表した研究報告を発表した。

[山下裕毅, ITmedia] ()
Innovative Tech:

米カリフォルニア大学サンフランシスコ校などに所属する研究者らは、慢性的な痛みに苦しむ患者に対して、脳に電極を埋め込んで電気刺激を与える脳深部刺激療法(DBS)を提案した研究報告を発表した。

[山下裕毅, ITmedia] ()
ちょっと昔のInnovative Tech:

ドイツのHelmholtz Zentrum Munchenなどに所属する研究者らは2024年、父親の食生活が精子を介して子供の肥満や糖尿病リスクに直接影響を与えるメカニズムをマウス実験で解明した研究報告を発表した。

[山下裕毅, ITmedia] ()
Innovative Tech:

Braveブラウザを手掛ける米Brave Softwareは他社のエージェント型ブラウザの脆弱性を見つけたと発表した。脆弱性が見つかったのは、米Perplexityが提供する「Comet」だ。

[山下裕毅, ITmedia] ()
Innovative Tech:

米カリフォルニア大学マーセド校と米インディアナ大学に所属する研究者らは、数学における解けた際のひらめきを事前予測できる可能性を示した研究報告を発表した。

[山下裕毅, ITmedia] ()
Innovative Tech:

中国科学技術大学を中心とする研究チームは、これまでで最大規模となるフォトニック量子コンピュータ「九章4.0」(Jiuzhang4.0)を開発し、従来の古典スーパーコンピュータでは事実上不可能な計算を瞬時に実行できることを実証した研究報告を発表した。

[山下裕毅, ITmedia] ()
Innovative Tech:

スウェーデンのウプサラ大学などに所属する研究者らは、男性特有の遺伝的変化が心血管疾患リスクと関連することが明らかになった研究報告を発表した。

[山下裕毅, ITmedia] ()
Innovative Tech:

英国国立物理学研究所(NPL)や韓国科学技術院(KAIST)などに所属する研究者らは、わずか6兆分の1秒という時間分解能で単一電子を検出することに成功した研究報告を発表した。

[山下裕毅, ITmedia] ()
Innovative Tech:

米スタンフォード大学やアメリカ国立標準技術研究所(NIST)などに所属する研究者らは、電気の基本単位であるアンペア(電流)、オーム(抵抗)、ボルト(電圧)を一つの装置で基準を作り出す標準器を提案した研究報告を発表した。

[山下裕毅, ITmedia] ()
ちょっと昔のInnovative Tech:

米カリフォルニア大学サンタバーバラ校などに所属する研究者らは2024年、妊娠前後で脳がどう変化しているかを調査した研究報告を発表した。

[山下裕毅, ITmedia] ()
Innovative Tech:

英ランカシャー大学やドイツのMax Planck Institute for Evolutionary Anthropologyなどに所属する研究者らは、7世紀のイングランド南部で埋葬された2人の個体が、サハラ以南の西アフリカ系祖先を持つことを明らかにした研究報告を発表した。

[山下裕毅, ITmedia] ()
Innovative Tech:

慶應義塾大学や早稲田大学に所属する研究者らは、退職が健康に与える影響を調査した研究報告を発表した。

[山下裕毅, ITmedia] ()
Innovative Tech:

米ハーバード大学などに所属する研究者らは、太陽光のみで地球上空の中間圏付近(高度50〜100km)でも浮遊できる軽量飛行体の技術開発に成功した研究報告を発表した。

[山下裕毅, ITmedia] ()
Innovative Tech:

インドのHarish-Chandra Research InstituteとベルギーのUniversite libre de Bruxellesに所属する研究者らは、すでに量子もつれ状態である1組のペアから、空間的に離れた複数のペアへと量子もつれを転送する新しいプロトコルを提案した研究報告を発表した。

[山下裕毅, ITmedia] ()
Innovative Tech:

英オックスフォード大学に所属する研究者らは、睡眠への欲求は細胞内のエネルギー工場であるミトコンドリアの損傷と修復のサイクルに起因することを発見した研究報告を発表した。

[山下裕毅, ITmedia] ()
Innovative Tech:

ブラジルのリオグランデ・ド・スル大学と英ポーツマス大学に所属する研究者らは、「コズミック・ホースシュー」(Cosmic Horseshoe)と呼ばれる銀河の中に、太陽の360億倍もの質量を持つ途方もなく巨大なブラックホールを発見したと発表した。

[山下裕毅, ITmedia] ()
Innovative Tech:

フランスのパスツール研究所やフランス国立科学研究センターなどに所属する研究者らは、最新の遺伝子技術により、ナポレオンのロシアからの撤退中に少なくとも30万人が死亡した原因となった新たな病原体を解明した研究報告を発表した。

[山下裕毅, ITmedia] ()
Innovative Tech:

米エロン大学や米デューク大学などに所属する研究者らは、肥満の増加は運動不足と過食の両方が原因とされてきたが、どちらがより重要な要因なのかを調査した研究報告を発表した。

[山下裕毅, ITmedia] ()
ちょっと昔のInnovative Tech:

英プリマス大学やオーストラリアのクイーンズランド工科大学に所属する研究者らは2015年、テトリスをわずか3分間プレイすることで、アルコール、ニコチン、カフェイン摂取や、飲食などへの渇望を効果的に抑制できることを実証した研究報告を発表した。

[山下裕毅, ITmedia] ()
Innovative Tech:

米タフツ大学に所属する研究者らは、豚と人の細胞を混ぜて培養した生きた人工歯を提案した研究報告を発表した。

[山下裕毅, ITmedia] ()
ちょっと昔のInnovative Tech:

スコットランドのグラスゴー大学とScottish SPCAなどに所属する研究者らは2017年、音楽が犬のストレス軽減に与える影響について調査した研究報告を発表した。

[山下裕毅, ITmedia] ()
Innovative Tech:

英オックスフォード大学などに所属する研究者らは、再分析により古代のツボに入っていた物質が2500年前の蜂蜜だと証明した研究報告だ。

[山下裕毅, ITmedia] ()
Innovative Tech:

オーストラリアのシドニー大学などに所属する研究者らは、1日の歩数と健康の関係について分析した研究報告を発表した。

[山下裕毅, ITmedia] ()
ちょっと昔のInnovative Tech:

イランのShiraz University of Medical Sciencesなどに所属する研究者らは2010年、ペパーミントの主要成分であるメンソール(メントール)が片頭痛に効くかを調査した研究報告を発表した。

[山下裕毅, ITmedia] ()
Innovative Tech:

米ボストン・カレッジとアイルランドのユニバーシティ・カレッジ・ダブリンに所属する研究者らは、給与を減らすことなく週4日勤務を導入することで従業員にどのような変化が起きるかを調査した研究報告を発表した。

[山下裕毅, ITmedia] ()
Innovative Tech:

ノルウェー海洋研究所などに所属する研究者らは、世界最大のニシン個体群として知られるノルウェーの春産卵ニシンが、漁業による集団記憶の喪失により、伝統的な産卵場所から約800km北方へ急激に移動したことが明らかになった研究報告を発表した。

[山下裕毅, ITmedia] ()
Innovative Tech:

英国のUniversity of the West of ScotlandやオーストラリアのUniversity of Adelaideに所属する研究者らは、急性呼吸器感染症に対するスープの治療効果について体系的な文献レビューをした研究報告を発表した。

[山下裕毅, ITmedia] ()
Innovative Tech:

大阪大学社会技術共創研究センターに所属する研究者らは、Nintendo Switch 2が日本と米国で異なる予約販売方法を採用したことについて考察した研究報告を発表した。

[山下裕毅, ITmedia] ()
ちょっと昔のInnovative Tech:

東京大学大学院農学生命科学研究科の研究チームは2021年、現代社会に広くみられる「虫嫌い」の原因について進化心理学の観点から調査した研究報告を発表した。

[山下裕毅, ITmedia] ()
ちょっと昔のInnovative Tech:

中国の復旦大学などに所属する研究者らは2024年、人の脳画像と血液中のタンパク質を詳しく調べることで脳の老化を調査した研究報告を発表した。

[山下裕毅, ITmedia] ()
ちょっと昔のInnovative Tech:

米コロラド大学ボルダー校などに所属する研究者は2023年、18世紀の英国において紅茶の普及が公衆衛生に予期せぬ形で大きな貢献を果たしたことが明らかになった研究報告を発表した。

[山下裕毅, ITmedia] ()
Innovative Tech:

米ペンシルベニア大学などに所属する研究者らは、真菌から抗がん作用を持つ新しい分子を発見し、白血病への治療法の可能性を示した研究報告を発表した。

[山下裕毅, ITmedia] ()
Innovative Tech:

スウェーデンのカロリンスカ研究所などに所属する研究者らは、ヒトの成人脳において新しい神経細胞(ニューロン)が生まれ続けているかどうかという問いに対する新しい発見を提示した研究報告を発表した。

[山下裕毅, ITmedia] ()
ちょっと昔のInnovative Tech:

米国マサチューセッツ工科大学(MIT)に所属する研究者らは2022年、オレオクッキーをひねって分離する際、なぜクリームがほぼ必ず片方のクッキーに残るのかを調査した研究報告を発表した。

[山下裕毅, ITmedia] ()
ちょっと昔のInnovative Tech:

米Mayo Clinicなどに所属する研究者らは2022年、睡眠制限が体重増加と内臓脂肪蓄積に及ぼす影響を調査した研究報告を発表した。

[山下裕毅, ITmedia] ()
ちょっと昔のInnovative Tech:

ハンガリーのEotvos Lorand Universityに所属する研究者は2024年、30匹の飼い猫を対象に、段階的にサイズが小さくなる開口部を通過させる実験を実施した研究報告を発表した。

[山下裕毅, ITmedia] ()
Innovative Tech:

ハンガリーのブダペスト工科経済大学とカナダのセントメアリーズ大学に所属する研究者らは、どの面に置いても必ず特定の1つの面を下に転がり着地する四面体の物理的実現に成功した研究発表を発表した。

[山下裕毅, ITmedia] ()
Innovative Tech:

米マサチューセッツ総合病院や英ブリストル大学などに所属する研究者らは、体の炎症反応が心の健康にどのような影響を与えるのかを調べた研究報告を発表した。

[山下裕毅, ITmedia] ()
Innovative Tech:

イタリアのUniversity of Bari Aldo MoroやドイツのRuhr-University Bochumなどに所属する研究者らは、家猫の睡眠姿勢には興味深い偏りが存在することを明らかにした研究報告を発表した。

[山下裕毅, ITmedia] ()
ちょっと昔のInnovative Tech:

米ハーバード大学医学部などに所属する研究者らは2020年、重度の睡眠不足が死に至る理由を発見した研究報告を発表した。

[山下裕毅, ITmedia] ()
Innovative Tech:

フランスのSorbonne Universiteと米ルイジアナ州立大学に所属する研究者は、光の流体を制御することでブラックホール周辺の曲がった時空を実験室で再現した研究報告を発表した。

[山下裕毅, ITmedia] ()
ちょっと昔のInnovative Tech:

フランスのUniversity Paris Citeなどに所属する研究者らは2019年、算数・数学(以下、算数)の男女格差がどこで生まれるのかを調査した研究報告を発表した。

[山下裕毅, ITmedia] ()
ちょっと昔のInnovative Tech:

コスタリカ大学に所属する研究者らは2024年、高温環境下での運動後の水分補給効果を検証する実験を実施した研究報告を発表した。

[山下裕毅, ITmedia] ()
Innovative Tech:

大阪大学大学院生命機能研究科の研究グループは、ほ乳類における妊娠中の母親の鉄不足が赤ちゃん(胎児)の性別決定に影響を与える可能性を明らかにした研究報告を発表した。

[山下裕毅, ITmedia] ()
Innovative Tech:

英Queen Mary University of Londonなどに所属する研究者らは、一卵性双生児を用いたゲノム解析により、精神疾患や神経発達障害における環境の影響と遺伝子との関係を明らかにした研究報告を発表した。

[山下裕毅, ITmedia] ()
Innovative Tech:

米コルゲート大学などに所属する研究者らは、ジェイムズ・ウェッブ宇宙望遠鏡(JWST)の最新観測データから、特異な天体「ダークマター星」(Dark Star)の候補を複数発見した研究報告を発表した。

[山下裕毅, ITmedia] ()
Innovative Tech:

実は進路を“自由に選んでいる”のは女子の方だ──慶應義塾大学大学院に所属する國武悠人さんは性別を理由にした“進路干渉圧”について、そんな指摘をしている。

[山下裕毅, ITmedia] ()
Innovative Tech:

オーストラリアのカーティン大学などに所属する研究者らは、地球の周りを回るスターリンク衛星が、宇宙の謎を解き明かそうとする天文学者たちの観測を妨害している現状を主張した研究報告を発表した。

[山下裕毅, ITmedia] ()
Innovative Tech:

韓国科学技術院(KAIST)などに所属する研究者らは、首と顔を優しくマッサージするだけで脳の老廃物排出低下を改善できることを発表した研究報告を発表した。

[山下裕毅, ITmedia] ()
Innovative Tech:

英ノッティンガム大学に所属する研究者らは、「人はなぜ規則に従うのか」という疑問に答えるための実験を行った研究報告を発表した。

[山下裕毅, ITmedia] ()
Innovative Tech:

明治学院大学の垣花真一郎教授は、送り仮名と文脈が漢字の訓読みに果たす役割について調査した研究報告を発表した。

[山下裕毅, ITmedia] ()
Innovative Tech:

フィンランドのヘルシンキ大学などに所属する研究者らは、中年期に体重を減らし、健康的な体重を維持することが、その後の人生における慢性疾患の発症リスクと死亡率にどう影響するかを調査した研究報告を発表した。

[山下裕毅, ITmedia] ()
Innovative Tech:

農研機構と台湾大学に所属する研究チームは、アズキの栽培化が縄文時代の日本で始まったことを最新のゲノム解析によって科学的に証明した研究報告を発表した。

[山下裕毅, ITmedia] ()
ちょっと昔のInnovative Tech:

英バーミンガム大学に所属する研究者らは2024年11月、ココア由来の成分「フラバノール」が血管機能への悪影響を軽減できることを示した研究報告を発表した。

[山下裕毅, ITmedia] ()
Innovative Tech:

英サウサンプトン大学と英グラスゴー大学などに所属する研究者らは、「ブラックホール爆弾」(Black Hole Bomb)として知られる物理現象を初めて実験室で実証することに成功した研究報告を発表した。

[山下裕毅, ITmedia] ()
Innovative Tech:

韓国の延世大学などに所属する研究者らは、過労が脳構造に与える影響を調査した研究報告を発表した。

[山下裕毅, ITmedia] ()
Innovative Tech:

米ワシントン大学の研究者は、両耳に装着するイヤフォン型デバイスを使用して、周囲の複数の話者の発言をリアルタイムで翻訳する技術「空間音声翻訳」を提案した研究報告を発表した。

[山下裕毅, ITmedia] ()
Innovative Tech:

米コーネル大学などに所属する研究者らは、「玉ねぎを切ると涙が出る」現象の科学的メカニズムを解明した研究報告を発表した。

[山下裕毅, ITmedia] ()
Innovative Tech:

中国科学院と米バージニア工科大学に所属する研究者らは、音波を使ってスマート機器の内部時計を勝手に操作できる脆弱性を示した研究報告を発表した。

[山下裕毅, ITmedia] ()
ちょっと昔のInnovative Tech:

中国の河南大学やエストニアのタルトゥ大学などに所属する研究者らは2022年、心停止に至る過程での人間の脳活動を記録・分析した研究報告を発表した。

[山下裕毅, ITmedia] ()
Innovative Tech:

米ジョージ・メイソン大学に所属する研究者らは、Bluetooth対応デバイスを追跡するための攻撃手法「nRootTag」を提案した研究報告を発表した。

[山下裕毅, ITmedia] ()
Innovative Tech:

ブラジルのサンカルロス連邦大学などに所属する研究者らは、光の波と粒子という2面性に新たな視点を示す研究報告だ。

[山下裕毅, ITmedia] ()
Innovative Tech:

フランスのパリ大学などに所属する研究者らは、チーズが削られた際に生じる独特の形状を物理メカニズムで解明した研究報告を発表した。

[山下裕毅, ITmedia] ()
Innovative Tech:

中国の南方科技大学に所属する研究者らは、舌で口腔内の上側をタッチパッドのようにして、イヤフォンを操作できる手法を提案した研究報告を発表した。

[山下裕毅, ITmedia] ()
Innovative Tech:

ドイツのベルリン工科大学やブラウンシュヴァイク工科大学などに所属する研究者らは、Web会議のバーチャル背景の脆弱性を示した研究報告を発表した。

[山下裕毅, ITmedia] ()
Innovative Tech:

病原体に対するワクチンを開発しているバイオテクノロジー企業の米Centivaxなどに所属する研究者らは、18年間もさまざまなヘビ毒を摂取してきた男性から作った万能抗体の成果を示した研究報告を発表した。

[山下裕毅, ITmedia] ()
Innovative Tech:

ドイツのマックス・プランク原子核物理学研究所に所属する研究者らは、高荷電イオンのための新しい周期表を開発した研究報告だ。

[山下裕毅, ITmedia] ()
Innovative Tech:

オーストリアのインスブルック大学とカナダのウォータールー大学に所属する研究者らは、アインシュタインの相対性理論の原理を応用した量子コンピュータの理論的基盤の確立に成功した研究報告だ。

[山下裕毅, ITmedia] ()
Innovative Tech:

アルゼンチンのマル・デル・プラタ国立大学に所属する研究者らは、古代ギリシャで作られた精巧なアナログ天文計算機「アンティキティラ島の機械」に関する新たな詳細が明らかになった研究報告を発表した。

[山下裕毅, ITmedia] ()
ちょっと昔のInnovative Tech:

英レディング大学や中国の香港中文大学などに所属する研究者らは2024年8月、人の外見の良さとビデオゲームに費やす時間との関連性を調査した研究報告を発表した。

[山下裕毅, ITmedia] ()
Innovative Tech:

米国の製薬企業Verve Therapeuticsは、遺伝子編集技術を用いた塩基編集薬「VERVE-102」の初期臨床試験結果を発表した。

[山下裕毅, ITmedia] ()
Innovative Tech:

英ケンブリッジ大学や米宇宙望遠鏡科学研究所などに所属する研究者らは、太陽系外の惑星において生命活動の可能性を示す有望な兆候を検出した研究報告を発表した。

[山下裕毅, ITmedia] ()
Innovative Tech:

英国のロンドン・スクール・オブ・エコノミクスなどに所属する研究者らは、ペットが人間の生活満足度に与える影響を定量的に分析した研究報告を発表した。

[山下裕毅, ITmedia] ()
Innovative Tech:

米UCバークレーと米ワシントン大学に所属する研究者らは、人間が通常見ることのできない新しい色を生み出す技術を開発した研究報告を発表した。

[山下裕毅, ITmedia] ()
Innovative Tech:

米スタンフォード大学などに所属する研究者らは、帯状疱疹ワクチン接種が認知症発症に与える影響に関する新たな研究報告だ。

[山下裕毅, ITmedia] ()
Innovative Tech:

中国の海南大学と英オックスフォード大学に所属する研究者らは、単一量子ビットの時間的振る舞いから3次元空間の幾何学が創発する現象を報告した研究報告を発表した。

[山下裕毅, ITmedia] ()
Innovative Tech:

浙江大学に所属する研究者らは、別の部屋から室内の電気照明を使ってIoTデバイスを遠隔操作できる攻撃を提案した研究報告を発表した。

[山下裕毅, ITmedia] ()
Innovative Tech:

米UCバークレーやスイスのチューリッヒ大学などに所属する研究者らは、高カロリー食品は、ヒトと動物の両方に快楽をもたらすが、長期間の摂取はその快楽価値を低下させ、肥満に寄与する可能性を示した研究報告を発表した。

[山下裕毅, ITmedia] ()
Innovative Tech:

米南カリフォルニア大学などに所属する研究者らは、ノンカロリー甘味料のスクラロースが、脳の食欲調節中枢である視床下部の活動に与える影響に関する研究を発表した。

[山下裕毅, ITmedia] ()
Innovative Tech:

慶應義塾大学と東京大学に所属する研究者らは、髪の毛を介した触覚フィードバック装置とアバターの猫耳を連動させることで、人間が持ち得ない猫耳に対する身体所有感が得られるのかを調査した研究報告を発表した。

[山下裕毅, ITmedia] ()
Innovative Tech:

ノルウェーのベルゲン大学などに所属する研究者らは、珍無腸動物門(Xenacoelomorph)を遺伝子調査することで肛門の起源の仮説を導き出した研究報告を発表した。

[山下裕毅, ITmedia] ()
Innovative Tech:

英国ロンドン・スクール・オブ・エコノミクスに所属する研究者は、仕事中におけるスマートフォンの配置が作業の中断や集中力にどのような影響を与えるかを検証した研究報告を発表した。

[山下裕毅, ITmedia] ()
Innovative Tech:

フランスのソルボンヌ大学とイタリアの国際理論物理学センターに所属する研究者らは、極度な高温高圧下において水が「超酸」(超強酸)と呼ばれる非常に強力な酸に変化することを実証した研究報告を発表した。

[山下裕毅, ITmedia] ()
Innovative Tech:

慶應義塾大学に所属する國武悠人さんは、米国最高裁判決を契機に人種・性別を考慮する入学選考が廃止される中、日本の大学のSTEM分野を中心に実施されている「女子枠」の問題点を示した研究を発表した。

[山下裕毅, ITmedia] ()
Innovative Tech:

イタリアのローマ・トレ大学などに所属する研究者らは、西暦79年のベスビオ火山噴火で埋没した古代ローマ都市ヘルクラネウムで発見された人間の頭蓋骨内から、黒く光るガラス状物質が発見された研究報告を発表した。

[山下裕毅, ITmedia] ()
Innovative Tech:

米ペンシルベニア州立大学航空宇宙工学科に所属する大学院生のディヴィヤ・ ティヤギさんは、100年前の数学問題をよりシンプルかつ洗練された形を提案する論文を発表した。

[山下裕毅, ITmedia] ()
Innovative Tech:

米スタンフォード大学などに所属する研究者は、年齢とともに認知能力は低下するといわれてきたが、実はそうとは限らないことが新たな研究で明らかになった研究報告を発表した。

[山下裕毅, ITmedia] ()
Innovative Tech:

カナダのブリティッシュコロンビア大学などに所属する研究者らは、TikTok上のADHD(注意欠如・多動症)に関する動画の信ぴょう性を調査した研究報告である。

[山下裕毅, ITmedia] ()
Innovative Tech:

フィンランドのアールト大学に所属する研究者らは、世界の人口データセットが農村部人口を体系的に過小評価している可能性を示した研究報告を発表した。

[山下裕毅, ITmedia] ()
Innovative Tech:

米シカゴ大学と米ミシガン大学などに所属する研究者らは、125年も未解決だった「ヒルベルトの第6問題」に対する解答を示した研究報告を発表した。

[山下裕毅, ITmedia] ()
Innovative Tech:

公立はこだて未来大学と神戸大学に所属する研究者らは、周囲のイヤフォン装着者だけに聞こえる虚偽の指示や環境音をこっそり提示できる超音波攻撃を提案した研究報告を発表した。

[山下裕毅, ITmedia] ()
Innovative Tech:

東京大学や産業技術総合研究所などに所属する研究者らは、騒音環境でも高品質な音声入力を実現するハンズフリーで使用可能な導電布マイクロフォンを提案した研究報告を発表した。

[山下裕毅, ITmedia] ()
Innovative Tech:

東京電機大学と長崎大学に所属する研究者らは、SNS上で自分に関する事柄が投稿されるとコショウが噴射され、くしゃみが誘発されるシステムを提案した研究報告を発表した。

[山下裕毅, ITmedia] ()
Innovative Tech:

東京大学とオーストラリアモナシュ大学などに所属する研究者らは、異なる個人の色の見え方を構造的に比較・分析した研究を発表した。

[山下裕毅, ITmedia] ()
ちょっと昔のInnovative Tech:

カナダのトロント大学に所属する研究者らは2011年、小説家の文章におけるアルツハイマー病の言語学的な兆候を分析した研究報告を発表した。

[山下裕毅, ITmedia] ()
Innovative Tech:

神戸市立工業高等専門学校に所属する研究者らは、運転手の目を自動車前部のディスプレイに表示し、リアルタイムで周囲に運転意図を知らせる手法を提案した研究報告を発表した。

[山下裕毅, ITmedia] ()
Innovative Tech:

米オハイオ州立大学などに所属する研究者らは、物理的に離れた場所にいる人と味を共有するシステムを提案した研究報告を発表した。

[山下裕毅, ITmedia] ()
Innovative Tech:

イタリアの研究機関「CNR Nanotec」などに所属する研究者らは、レーザー光と物質の相互作用を利用して、「超固体」と呼ばれる特異な物質状態を実現することに成功した研究報告を発表した。

[山下裕毅, ITmedia] ()
Innovative Tech:

米国マサチューセッツ工科大学(MIT)のRyan Williams教授は、コンピュータが計算処理を行う際の「時間」と「空間」の関係性について、従来の理論を大幅に改善するという研究報告(査読前のプレプリント)を発表した。

[山下裕毅, ITmedia] ()
ちょっと昔のInnovative Tech:

米UCバークレーに所属する研究者らは2013年、静電気を帯びた昆虫によるクモの巣の変形に関する研究報告を発表した。

[山下裕毅, ITmedia] ()
Innovative Tech:

玉川大学と千葉大学に所属する川崎敏治さん(崎はたつさき)の単著論文「A proof of the Collatz conjecture」がarXivでプレプリント(査読前)として登場した。新たな不動点定理を使用してコラッツ予想を証明したという。

[山下裕毅, ITmedia] ()
Innovative Tech:

カナダのトロント大学に所属する研究者らは、産業社会と非産業社会における睡眠パターンを比較した研究報告を発表した。

[山下裕毅, ITmedia] ()
Innovative Tech:

アイルランドのMunster Technological Universityに所属する研究者らは、高齢者のパスワード管理に関する現状を調査した研究報告である。

[山下裕毅, ITmedia] ()
ちょっと昔のInnovative Tech:

ドイツのMax Delbruck Center for Molecular Medicineなどに所属する研究者らは2020年、哺乳類における温感知覚のメカニズムを発見した研究報告を発表した。

[山下裕毅, ITmedia] ()
Innovative Tech:

英エディンバラ大学などに所属する研究者らは、うつ病の既往歴を持つ中高年は、そうでない人と比較して、より多くの長期的な身体疾患を抱え、新たな身体疾患も速いペースで蓄積することが明らかになった研究報告を発表した。

[山下裕毅, ITmedia] ()
Innovative Tech:

中国の山東大学斉魯医院やスウェーデンのカロリンスカ研究所などに所属する研究者らは、人工甘味料・アスパルテームが動脈硬化を悪化させるメカニズムを解明した研究報告を発表した。

[山下裕毅, ITmedia] ()
Innovative Tech:

オーストラリアのモナシュ大学とデンマークのコペンハーゲン大学に所属する研究者らは、薬が水に溶けにくいという問題を、母乳や牛乳を使って解決しようとした研究報告を発表した。

[山下裕毅, ITmedia] ()
Innovative Tech:

イタリアのフェデリコ2世・ナポリ大学などに所属する研究者らは、これまでにない斬新なゆで卵の作り方を提案した研究報告を発表した。

[山下裕毅, ITmedia] ()
Innovative Tech:

ドイツのMax Planck Institute for Astrophysicsなどに所属する国際チームは、欧州宇宙機関(ESA)のユークリッド宇宙望遠鏡が、地球から最も近い場所でアインシュタインリングを発見し研究報告を発表した。

[山下裕毅, ITmedia] ()
Innovative Tech:

オーストラリアのモナシュ大学などに所属する研究者らは、認知症の発症前から身体計測値や代謝指標がどのように変化するのかを調べた研究報告を発表した。

[山下裕毅, ITmedia] ()
Innovative Tech:

台湾大学などに所属する研究者らは、健常者とADHD(注意欠如・多動性障害)を持つ成人を対象に、有酸素運動が認知機能と大脳皮質の興奮性に与える影響についての研究報告を発表した。

[山下裕毅, ITmedia] ()
Innovative Tech:

英プリマス大学に所属する研究者らは2019年、アルコール摂取が共感性と道徳的判断に与える急性効果について検討した研究報告を発表した。

[山下裕毅, ITmedia] ()
Innovative Tech:

ドイツのザールラント大学などに所属する研究者らは、人間の耳介筋(耳の周りの筋肉)の活動と音を聞き分けようとする際の脳の働きとの関係について調査した研究報告を発表した。

[山下裕毅, ITmedia] ()
Innovative Tech:

OpenAIのサム・アルトマン氏が取締役を務める研究チーム「OpenResearch」が、ベーシックインカムに関する社会実験の結果を公開している。

[山下裕毅, ITmedia] ()
Innovative Tech:

スイスのチューリッヒ大学などに所属する研究者らは、高齢者の健康寿命を延ばすことを目指した大規模な臨床試験「DO-HEALTH」の新たな解析結果が示された研究報告を発表した。

[山下裕毅, ITmedia] ()
Innovative Tech:

筑波大学と琉球大学に所属する研究者らは、「は」直後の読点の打ち方を調査した研究報告を発表した。

[山下裕毅, ITmedia] ()
Innovative Tech:

LINEヤフーに所属する山中祥太さんは、2025年の大学入学共通テスト「情報I」において出題されたマウスカーソルでのターゲット選択に関する問題について、その妥当性を考察した研究報告を発表した。

[山下裕毅, ITmedia] ()
Innovative Tech:

中国科学技術大学を中心とする研究チームは、光子を使った量子物理学の実験で、37次元という極めて複雑な状態を作り出すことに成功した研究報告を発表した。

[山下裕毅, ITmedia] ()
Innovative Tech:

オーストラリアン・カソリック大学などに所属する研究者らは、健康な成人における飲酒が睡眠に与える影響を詳しく分析した研究報告を発表した。研究では、飲酒が睡眠に与える影響について27の研究を分析した。

[山下裕毅, ITmedia] ()
Innovative Tech:

オーストラリアのフリンダース大学に所属する研究者は、静止画なのに動いて見える「拡大する穴」という錯視について、その仕組みを解明した研究報告を発表した。

[山下裕毅, ITmedia] ()
Innovative Tech:

京都大学野生動物研究センターなどに所属する研究者らは、チンパンジーにおける排尿が他のチンパンジーにも伝染するかを調査した研究報告を発表した。

[山下裕毅, ITmedia] ()
Innovative Tech:

中国の香港中文大学などに所属する研究者らは、ペルーの古代文明チャンカイ文化において、これまで知られていなかった高度な芸術性をもつタトゥーが最新の科学技術により明らかになった。

[山下裕毅, ITmedia] ()
Innovative Tech:

中国の南開大学などに所属する研究者らは、1型糖尿病の新たな治療法として、患者自身の細胞から作製した膵臓の細胞を移植する臨床研究の成果を示した研究報告を発表した。

[山下裕毅, ITmedia] ()
Innovative Tech:

英インペリアル・カレッジ・ロンドンなどに所属する研究者らは、有酸素運動が体重減少や体形改善に与える効果について調査した研究報告を発表した。

[山下裕毅, ITmedia] ()
Innovative Tech:

スウェーデンのチャルマース工科大学や米国立標準技術研究所、米メリーランド大学などに所属する研究者らは、量子コンピュータの重要な課題である量子ビットのリセットを超電導回路から作られた自律的に動作する冷却装置で実行した研究報告を発表した。

[山下裕毅, ITmedia] ()
Innovative Tech:

中国の杭州師範大学などに所属する研究者らがは、週末だけの運動が健康にどれほど効果的かを調査した研究報告を発表した。

[山下裕毅, ITmedia] ()
Innovative Tech:

スペインのバルセロナ大学やドイツのMax Planck Institute for the Physics of Complex Systemsなどに所属する研究者たちは、イタリアの伝統的パスタ料理「カーチョ・エ・ペペ」の調理法について、物理学者たちが科学的な解明を行った研究報告を発表した。

[山下裕毅, ITmedia] ()
ちょっと昔のInnovative Tech:

米コロンビア大学などに所属する研究者らが2021年、白髪とストレスの関係や白髪から黒髪に戻る現象について分析した研究報告を発表した。

[山下裕毅, ITmedia] ()
Innovative Tech:

シンガポール国立大学やベトナム国家大学ハノイ校、インドネシア国立研究革新庁に所属する研究者らは、ベトナムの南シナ海で、新種の巨大等脚類(ダイオウグソクムシ)が発見された研究報告を発表した。

[山下裕毅, ITmedia] ()
ちょっと昔のInnovative Tech:

米スタンフォード大学などに所属する研究者らは、加齢に伴う分子レベルの変化を調査した研究報告を2024年8月に発表した。

[山下裕毅, ITmedia] ()
Innovative Tech:

オーストラリアのメルボルン大学などに所属する研究者らは、インターネット速度向上が肥満に及ぼす影響について調査した研究報告を発表した。

[山下裕毅, ITmedia] ()
Innovative Tech:

慶應義塾大学に所属する國武悠人さんは、大規模な批判を受けた牛角の女性限定半額キャンペーンの事例を通じて、日本における性別に基づく価格設定、特に女性限定割引について、企業が直面するリスクと消費者意識の変化を分析した探索的研究を発表した。

[山下裕毅, ITmedia] ()
Innovative Tech:

オーストラリアのフリンダース大学に所属する研究者らがは、探針で穴を開けるようにへこみを付けてデータを書き込み、読み取り、消去を可能にするアプローチを提案した研究報告を発表した。

[山下裕毅, ITmedia] ()
Innovative Tech:

フランスのポアティエ大学などに所属する研究者らは、「全身凍結刺激」(WBC: Whole-body Cryostimulation)が睡眠と健康状態に及ぼす影響について調査した研究報告を発表した。

[山下裕毅, ITmedia] ()
Innovative Tech:

米イリノイ大学アーバナ・シャンペーン校やカナダのカールトン大学などに所属する研究者らは2017年、 パーソナリティー(性格)特性は治療などの介入によってどの程度変化するのかを調べた研究報告を発表した。

[山下裕毅, ITmedia] ()
Innovative Tech:

米ノースウェスタン大学などに所属する研究者らは、世界中のインターネット網で使われている既存の光ファイバーケーブルを、量子通信にも利用できる可能性が示された研究報告を発表した。

[山下裕毅, ITmedia] ()
Innovative Tech:

米メリーランド大学などに所属する研究者らは、米国心臓協会が提唱する8つの健康指標「Life’s Essential 8」(LE8)の順守が、脳の白質の加齢にどのような影響を与えるかを調べた研究報告を発表した。

[山下裕毅, ITmedia] ()
Innovative Tech:

英オックスフォード大学などに所属する研究者らは、青銅器時代のイギリスで敵を殺して解体し、食していた残虐行為の可能性を示した研究報告を発表した。

[山下裕毅, ITmedia] ()
Innovative Tech:

韓国のセキュリティカンファレンス「POC 2024」で、LEDを点灯させずにノートPCのカメラで盗撮する手法を提案した内容を発表された。

[山下裕毅, ITmedia] ()
Innovative Tech:

米南イリノイ大学カーボンデール校などに所属する研究者らは、犬の首輪とハーネス使用時の引っ張り力を比較調査した研究報告を発表した。

[山下裕毅, ITmedia] ()
Innovative Tech:

ドイツのハノーファー大学やドイツ航空宇宙センターなどに所属する研究者らは、原子の量子もつれを活用して重力をこれまでにない高精度で測定する新しい原子重力計を実証した研究報告を発表した。

[山下裕毅, ITmedia] ()
Innovative Tech:

N/S高研究部(KdEi研)に所属する横井杏樹さん(高1)と、N/S高研究部アドバイザーで東京理科大学に所属する川村花道さんは、数学の「多重ゼータ値」に関する未解決問題を解決したという研究報告を発表した。

[山下裕毅, ITmedia] ()
Innovative Tech:

ノルウェー科学技術大学に所属する研究者らは、手書きとタイピングにおける人間の脳への影響を調査した研究報告である。

[山下裕毅, ITmedia] ()
Innovative Tech:

英UCLなどに所属する研究者らは、インターネット上での情報探索行動とメンタルヘルスの関係について調査した研究報告を発表した。

[山下裕毅, ITmedia] ()
Innovative Tech:

米チャタム大学や米ラトガース大学などに所属する研究者らは、約150万年前にケニアのトゥルカナ湖畔で発見された足跡の化石から、異なる2種の古代人類が同じ時期に生活していた証拠が見つかった研究報告を発表した。

[山下裕毅, ITmedia] ()
Innovative Tech:

韓国の延世大学に所属するペク・チネさんは、1966年からの未解決問題「ソファ移動問題」(Moving sofa problem)を解決したという研究報告を発表した。

[山下裕毅, ITmedia] ()
Innovative Tech:

米スタンフォード大学などに所属する研究者らは、ソーシャルメディアのアルゴリズムが、数日で人々の政治的な見方を変えうることが明らかになった研究報告を発表した。

[山下裕毅, ITmedia] ()
ちょっと昔のInnovative Tech:

英レスター大学などに所属する研究者らは2019年、身体能力と肥満度が平均寿命にどのように影響するのかを詳しく調査した研究報告を発表した。

[山下裕毅, ITmedia] ()
Innovative Tech:

中国科学技術大学や浙江大学に所属する研究者らは、レーザーを使ってダイヤモンドに情報をエンコードし、安全かつ長期保存を実現するデータストレージ技術を提案した研究報告を発表した。

[山下裕毅, ITmedia] ()
Innovative Tech:

米ミネソタ大学やオランダのアムステルダム大学などに所属する研究者らは、オフラインでの会話内容に関連した広告の受信経験とその認識について調査した研究報告を発表した。

[山下裕毅, ITmedia] ()
Innovative Tech:

米カリフォルニア大学サンフランシスコ校などに所属する研究者らは、水分摂取量の変化が健康に与える影響について調査した研究報告を発表した。

[山下裕毅, ITmedia] ()
Innovative Tech:

サイバーセキュリティ企業の米Volexityは、ロシアのハッカー集団「GruesomeLarch」(APT28、Forest Blizzard、Sofacyなどの別名を持つ)が、標的に物理的に近接するWi-Fiネットワークを悪用する新しい攻撃手法を展開していたこと発表した。

[山下裕毅, ITmedia] ()
Innovative Tech:

米シカゴ大学や米スタンフォード大学などに所属する研究者らは、リュウキュウアオイ(Corculum cardissa)などのハート型の二枚貝が、光合成共生を実現するために独自の光学システムを進化させたことを発見した研究報告を発表した。

[山下裕毅, ITmedia] ()
Innovative Tech:

イスラエルのエルサレム・ヘブライ大学に所属する研究者らは、約1万2000年前に発掘された穴が開いた石を3D解析した研究報告を発表した。

[山下裕毅, ITmedia] ()
Innovative Tech:

中国の深セン大学や北京大学、オーストリアのウィーン工科大学などに所属する研究者らは、量子もつれの形成過程を「アト秒」(1×10^-18秒=100京分の1秒)という超微細な時間スケールで観測することに成功した研究報告を発表した。

[山下裕毅, ITmedia] ()
Innovative Tech:

フランスのコートダジュール大学とInstitut Universitaire de Franceに所属する研究者らは、液体の噴流(液体ジェット)が高温の表面に触れることなく跳ね返る現象が新たに発見された研究報告を発表した。

[山下裕毅, ITmedia] ()
ちょっと昔のInnovative Tech:

ドイツのライプツィヒ大学などに所属する研究者らは2015年、出生順位による知能や性格の違いを調査した研究報告を発表した。

[山下裕毅, ITmedia] ()
Innovative Tech:

ドイツのベルリン・フンボルト大学などに所属する研究者らは、ゾウがホースを使用して水浴びをする行動と、他のゾウがホースを圧迫して水流を遮断する妨害行動を観察・分析した研究報告を発表した。

[山下裕毅, ITmedia] ()
Innovative Tech:

米Mayo Clinicなどに所属する研究者らは、高齢化に伴う歩行、バランス、筋力の変化を調査した横断研究を発表した。

[山下裕毅, ITmedia] ()
Innovative Tech:

イタリアのフィレンツェ大学や米ハーバード大学などに所属する研究者らは、古代都市ポンペイの火山噴火で埋没した人たちに関する歴史が、DNA分析により書き換えられることとなった研究報告を発表した。

[山下裕毅, ITmedia] ()
Innovative Tech:

イタリアのボローニャ大学に所属する研究者らは、最初期の文字体系の一つである原楔形文字の起源について、それ以前から使用されていた円筒印章(メソポタミアで所有者などを示すために使われた印章)との関連性を示した研究報告を発表した。

[山下裕毅, ITmedia] ()
Innovative Tech:

米カリフォルニア大学サンディエゴ校に所属する研究者らは、「熱は高温から低温へ流れる」という物理学の基本原理が、特殊な条件下では異なる振る舞いを示すことを明らかにした研究報告を発表した。

[山下裕毅, ITmedia] ()
Innovative Tech:

米コロンビア大学や米ペンシルベニア州立大学などに所属する研究者らは、物質中で特異な性質を持つ新しい粒子の存在を確認した研究報告を発表した。

[山下裕毅, ITmedia] ()
Innovative Tech:

ドイツのルートヴィヒ・マクシミリアン大学ミュンヘンやフランスのパリ・サクレー大学などに所属する研究者らがは、ミケランジェロのシスティーナ礼拝堂の天井画「大洪水」に、乳がんの症状を示す女性が描かれている可能性があることを指摘した研究報告を発表した。

[山下裕毅, ITmedia] ()
Innovative Tech:

ノルウェー科学技術大学やノルウェー文化遺産研究所などに所属する研究者らは、ノルウェーの古代文献に登場する「井戸に投げ込まれた男」の正体が、最新のDNA解析技術によって800年の時を経て明らかにした研究報告を発表した。

[山下裕毅, ITmedia] ()
Innovative Tech:

中国の青島大学などに所属する研究者らは、新種のクマムシを発見し、その放射線耐性のメカニズムを解明した研究報告を発表した。

[山下裕毅, ITmedia] ()
Innovative Tech:

2023年、米国の高校生ネキヤ・ジャクソンさんとカルセア・ジョンソンさんは、地元の高校のコンテストで驚くべき成果を披露した。それは、三角関数を用いてピタゴラスの定理を証明するという方法の発見であった。

[山下裕毅, ITmedia] ()
Innovative Tech:

麻布大学に所属する研究者らは、猫が人間の言葉を予想以上に早く学習する可能性を示す研究報告を発表した。

[山下裕毅, ITmedia] ()
Innovative Tech:

アイルランド王立外科医学院などに所属する研究者らは、慢性的ないじめ被害が青年期から成人初期にかけての脳発達に及ぼす影響を調査した研究報告を発表した。

[山下裕毅, ITmedia] ()
Innovative Tech:

中国科学院などに所属する研究者らは、犬と人間が社会的に交流している際の脳波を同時に測定し、両者の間に神経活動の同期が生じることを調査した研究報告を発表した。

[山下裕毅, ITmedia] ()
Innovative Tech:

米メリーランド大学と米ロチェスター大学に所属する研究者らは、量子系において、従来同等と考えれてきた3つのエントロピー増大の計算式が異なる結果を示すことを証明した研究報告を発表した。

[山下裕毅, ITmedia] ()
Innovative Tech:

イスラエルのネゲヴ・ベン・グリオン大学に所属するMordechai Guriさんは、インターネットに接続していない物理的に隔離したコンピュータから機密データを盗む攻撃をまとめた研究報告を発表した。

[山下裕毅, ITmedia] ()
ちょっと昔のInnovative Tech:

トルコのニーデ・オメル・ハリスデミル大学に所属する研究者らは2023年、会話中にスマートフォンを触る行為「ファビング」が結婚満足度に与える影響と、その関係における効果的なコミュニケーションスキルの媒介効果を調査した研究報告を発表した。

[山下裕毅, ITmedia] ()
Innovative Tech:

オランダのマウリッツハイス美術館は、ヨハネス・フェルメールの名画「真珠の耳飾りの少女」などを含む絵画の魅力を脳科学的に分析した実験結果を発表した。

[山下裕毅, ITmedia] ()
Innovative Tech:

米コロラド大学ボルダー校に所属する研究者らは、自然が無秩序へと向かうエントロピー増大に抵抗できる量子状態が存在することを、新たな数学的証明で示した研究報告を発表した。

[山下裕毅, ITmedia] ()
Innovative Tech:

国際天文学連合(IAU)などに所属する研究者らは、8月に打ち上げられた中国の衛星の明るさを調査した研究報告を発表した。

[山下裕毅, ITmedia] ()
Innovative Tech:

神戸市立神戸アイセンター病院などに所属する研究者らと理化学研究所生命機能科学研究センターは、加齢による網膜の病気を治療し視力改善を図る新たなアプローチを示した研究報告を発表した。

[山下裕毅, ITmedia] ()
ちょっと昔のInnovative Tech:

米Googleに所属する研究者らが2021年に、大規模データセンターにおいて、一見正常に動作しているように見えるCPUコアが、実際には誤った計算結果を出力する「Mercurial core」と呼ばれる問題が発生していることを明らかにした研究報告を発表した。

[山下裕毅, ITmedia] ()
Innovative Tech:

イタリアのボローニャ大学やフィレンツェ大学などに所属する研究者らは、約1万7000年前に生きていた幼児の遺骨について、多角的な分析が行われた研究報告を発表した。

[山下裕毅, ITmedia] ()
Innovative Tech:

米国立標準技術研究所(NIST)が、組織はユーザーに定期的なパスワード変更を要求してはならないという内容を含めた新しいガイダンスを発表した。

[山下裕毅, ITmedia] ()
Innovative Tech:

東京大学と北海道大学に所属する研究者らは、炭素原子間の新しい結合様式を発見した研究報告を発表した。炭素と炭素が電子1つだけで結合できることを実験で実証。この発見により、1世紀前に提唱された理論が実証された。

[山下裕毅, ITmedia] ()
Innovative Tech:

英UCLや米UC Davisなどに所属する研究者らは、スマートTVにおいて、視聴者の見ているコンテンツのスクリーンショット(フレームキャプチャー)を1秒間に複数回撮影していることが明らかになった研究報告を発表した。

[山下裕毅, ITmedia] ()
Innovative Tech:

スペインのマドリード・コンプルテンセ大学に所属する研究者らは、9〜11月の約2カ月間、地球が小型の天体を一時的に捕獲し「ミニムーン現象」を引き起こすことを示した研究報告を発表した。

[山下裕毅, ITmedia] ()
Innovative Tech:

米パデュー大学と米ノースカロライナ州立大学に所属する研究者らは、量子力学の性質を利用して、一見空っぽに見える空間からエネルギーを抽出し、瞬間移動させ、さらには貯蔵する方法を実証した研究報告を発表した。

[山下裕毅, ITmedia] ()
Innovative Tech:

ドイツの研究者は、1960年代に14回も宝くじに当選したルーマニアのステファン・マンデルさんの手法を分析した研究報告を発表した。マンデルさんが初期に用いた手法「Combinatorial Condensation」は長年謎に包まれていたが、その手法を解明しようと試みた。

[山下裕毅, ITmedia] ()
ちょっと昔のInnovative Tech:

オーストラリアのウェスタンシドニー大学などに所属する研究者らが2023年に、アルツハイマー病(AD)の発症メカニズムに関する新たな仮説を発表した。

[山下裕毅, ITmedia] ()
Innovative Tech:

イスラエルのBen-Gurion University of the Negevに所属する研究者は、インターネットに接続していないエアギャップPCの画面から漏れ出るノイズ音を盗聴してデータを盗み出す攻撃を提案した研究報告を発表した。

[山下裕毅, ITmedia] ()
Innovative Tech:

イスラエルのBen-Gurion University of the Negevに所属する研究者は、インターネットに接続していないコンピュータ(エアギャップPC)から機密情報を漏えいさせる新たなサイドチャネル攻撃手法を提案した研究報告を発表した。

[山下裕毅, ITmedia] ()
Innovative Tech:

大阪公立大学とスイスのヌーシャテル大学に所属する研究者らは、魚(ホンソメワケベラ)が鏡を使って自身の体長を認識し、その情報を戦略的に利用する能力を持っていることを示した研究報告を発表した。

[山下裕毅, ITmedia] ()
Innovative Tech:

中国の香港科技大学に所属する研究者らは、量子ホログラム(量子力学とホログラフィーを組み合わせた技術)を用いて、消去可能なメッセージを送信する量子通信技術を提案した研究報告を発表した。

[山下裕毅, ITmedia] ()
Innovative Tech:

米スタンフォード大学などに所属する研究者らは、体内の臓器などの生体内部を、その上にある組織を可視光に対して透明にすることで非侵襲的に観察する手法を提案した研究報告を発表した。

[山下裕毅, ITmedia] ()
Innovative Tech:

カナダのシャーブルック大学などに所属する研究者らは、幼児期のタブレット使用と怒りやフラストレーション爆発の表出に関する研究報告を発表した。

[山下裕毅, ITmedia] ()
ちょっと昔のInnovative Tech:

イタリアのローマ・ラ・サピエンツァ大学とカナダのオタワ大学に所属する研究者らは2023年に、量子もつれの光子をリアルタイムに可視化する技術を提案した研究報告を発表した。

[山下裕毅, ITmedia] ()
ちょっと昔のInnovative Tech:

中国の北京大学と米ハーバード大学、米MITに所属する研究者らは2019年に、中国の学生に検閲されていないVPN経由のインターネットアクセスを無料で提供した研究報告を発表した。

[山下裕毅, ITmedia] ()
Innovative Tech:

米ノースカロライナ州立大学と米ジョンズ・ホプキンス大学に所属する研究者らは、データ保存と計算機能を兼ね備えたDNAコンピュータを実証した研究報告を発表した。

[山下裕毅, ITmedia] ()
Innovative Tech:

米マサチューセッツ大学アマースト校などに所属する研究者らは、他人のクレジットカードを用いてデジタルウォレットを介して商品を購入する攻撃を示した研究報告を発表した。

[山下裕毅, ITmedia] ()
ちょっと昔のInnovative Tech:

山口県立大学に所属する研究者らは2023年に、ファンが推し(ファンの対象となる人物)に対して適切な距離間を取れず過度な期待をしてしまう現象を事例から考察し、健全な推し活を提案した研究報告を発表した。

[山下裕毅, ITmedia] ()
Innovative Tech:

日本大学や浜松医科大学、大阪大学などに所属する研究者らは、ビデオゲームが精神的健康に与える影響について、大規模な自然実験を用いて因果関係を明らかにした研究報告を発表した。

[山下裕毅, ITmedia] ()
Innovative Tech:

韓国の延世大学校などに所属する研究者らは、物質において特定の条件下で観測不可能な電子状態を発見した研究報告である。

[山下裕毅, ITmedia] ()
Innovative Tech:

8月開催のセキュリティカンファレンス「DEF CON 32」において、セキュリティ研究者サミー・カムカーさんが、赤外線レーザーを使用してラップトップのキーストロークを遠隔から盗聴する攻撃を披露した。

[山下裕毅, ITmedia] ()
Innovative Tech:

8月に開催したセキュリティカンファレンス「DEF CON 32」において、ドイツのダルムシュタット工科大学に所属する研究者らが電気自動車をゲームコントローラーに変換する改造方法を発表した。

[山下裕毅, ITmedia] ()
Innovative Tech:

イスラエルのサイバーセキュリティ企業の米SafeBreachの研究者は、セキュリティカンファレンス「Black Hat USA 2024」でWindowsアップデートプロセスを悪用してシステムを古い脆弱なバージョンに戻すダウングレード攻撃「Windows Downdate」を発表した。

[山下裕毅, ITmedia] ()
Innovative Tech:

中国科学技術大学などに所属する研究者らは、改良した高性能な装置を用いて「量子もつれ」(2つの粒子がどれだけ離れていても相関関係を保つ現象)を実験的に検証した研究報告を発表した。

[山下裕毅, ITmedia] ()
Innovative Tech:

インド工科大学に所属する研究者らは、Androidスマートフォンのユーザーがアプリに位置情報へのアクセスを許可した場合に、GPS信号から位置情報以外の情報を抽出できるかを調査し、新たな脆弱性を示した研究報告を発表した。

[山下裕毅, ITmedia] ()
Innovative Tech:

名古屋市立大学の小鷹研究室に所属する研究者らは、簡単な視触覚刺激によって、自分の耳たぶが長く伸びたような感覚を引き起こす研究報告を発表した。

[山下裕毅, ITmedia] ()
Innovative Tech:

中国の西安交通大学などに所属する研究者らは、日傘と扇風機を組みわせた扇風機付き日傘(ファン付きパラソル)の冷却効果を調べた研究報告を発表した。

[山下裕毅, ITmedia] ()
Innovative Tech:

大阪工業大学に所属する越智徹さんがは、学生が教員へ送るメールの内容を分析した研究報告を発表した。

[山下裕毅, ITmedia] ()
Innovative Tech:

上海大学の研究者らは、脳内の神経繊維が、量子もつれによって結びついた光子のペアを生成する可能性を理論的に示唆した研究報告を発表した。

[山下裕毅, ITmedia] ()
Innovative Tech:

北海道大学大学院理学院修士課程の松島吉伸さんと同大学大学院理学研究院の角井敬知講師の研究チームは、水族館の水槽から新種の甲殻類を発見した研究報告を発表した。

[山下裕毅, ITmedia] ()
Innovative Tech:

カナダのビクトリア大学などに所属する研究者らは、107件の研究を対象とした分析を実施し、アルコール消費と全死因死亡率の関連性を詳細に調査した研究報告を発表した。

[山下裕毅, ITmedia] ()
ちょっと昔のInnovative Tech:

米ペンシルベニア州立大学などに所属する研究者らは2022年、運動時や暑い環境における水分補給に適した飲料を調査した研究報告を発表した。

[山下裕毅, ITmedia] ()
Innovative Tech:

清華大学に所属する研究者らは、外部電源が完全に失われた場合でも、冷却システムを使用せずに受動的に冷却するメルトダウンを起こさない商業用原子力発電所を実証した研究報告を発表した。

[山下裕毅, ITmedia] ()
Innovative Tech:

スイスのバーゼル大学や米ロチェスター大学などに所属する研究者らは、一見ランダムに見える出来事の連続を時計に変換し、その精度を測定する新しい数学的手法を提案した研究報告を発表した。

[山下裕毅, ITmedia] ()
Innovative Tech:

米ジョージア工科大学と米スタンフォード大学、米MITに所属する研究者らは、複数の糸が絡まった塊から1本の糸を解きほぐす最適な方法を提案した研究報告を発表した。

[山下裕毅, ITmedia] ()
Innovative Tech:

英ブリストル大学などに所属する研究者らは、全生命の共通祖先「LUCA」(Last Universal Common Ancestor)に関する新たな研究報告を発表した。

[山下裕毅, ITmedia] ()
Innovative Tech:

韓国の延世大校と江原大校に所属する研究者らは、培養肉の風味向上に関する新たな研究報告を発表した。

[山下裕毅, ITmedia] ()
Innovative Tech:

イタリアのトレント大学とパドヴァ大学などに所属する研究者らは、月の海の領域にある穴の下に、アクセス可能な地下洞窟へのトンネルが存在することを示した研究報告を発表した。

[山下裕毅, ITmedia] ()
ちょっと昔のInnovative Tech:

自治医科大学に所属する研究者らは2019年に、日本の各地域における脳卒中死亡率とラーメン店の普及率に相関があることを示した研究報告を発表した。

[山下裕毅, ITmedia] ()
Innovative Tech:

トルコのアンカラ大学やポルトガルのEgas Moniz School of Health and Scienceなどの研究者らは、家庭で飼育される猫の望ましくない引っかき行動に関する研究報告を発表した。

[山下裕毅, ITmedia] ()
Innovative Tech:

東京大学先端科学技術研究センターの西増弘志教授らのグループとアーク研究所のパトリック・スー博士らのグループによる共同研究チームが、大腸菌の中にDNAを組み換えできる能力を持つ分子システムを発見したと発表した。

[山下裕毅, ITmedia] ()
Innovative Tech:

韓国のソウル大学校や米UT サウスウェスタン・メディカル・センターなどに所属する研究者らは、肥満治療薬が食事を一口も口にしていないのに満腹感を引き起こす不思議な現象の背後にあるメカニズムを特定した研究報告を発表した。

[山下裕毅, ITmedia] ()
Innovative Tech:

英カーディフ大学、スイスのジュネーヴ大学、英ブリストル大学に所属する研究者は、複雑な迷路を作成できるアルゴリズムを提案した研究報告を発表した。

[山下裕毅, ITmedia] ()
ちょっと昔のInnovative Tech:

オランダのユトレヒト大学などに所属する研究者らは2023年11月、複数の小さな球体を最も効率的に袋に詰める方法を実験とシミュレーションで実証した研究報告を発表した。

[山下裕毅, ITmedia] ()
ちょっと昔のInnovative Tech:

米スタンフォード大学と米タフツ大学に所属する研究者らは2016年、長年ランダムだと考えられてきた素数の出現パターンに、予想外の規則性が存在することを発表した。

[山下裕毅, ITmedia] ()
Innovative Tech:

デンマーク工科大学に所属する研究者らは、最も切り傷になりやすい紙の厚さを調査した研究報告を発表した。

[山下裕毅, ITmedia] ()
ちょっと昔のInnovative Tech:

米ケント州立大学、米タルサ大学などに所属する研究者らは2023年、数千年前から使用されてきた古代の投槍器「アトラトル」を用いると、女性と男性が非常に近い速度で投射物を発射できることを発見した研究報告を発表した。

[山下裕毅, ITmedia] ()
Innovative Tech:

米オーバーン大学などに所属する国際的な研究チームは、家猫(Felis catus)が生態系に及ぼす影響について大規模に調査した研究報告を発表した。

[山下裕毅, ITmedia] ()
Innovative Tech:

米ミシガン大学メディカルスクールどに所属する研究者らは、睡眠不足が脳における記憶の固定化にどのように影響を及ぼすかを調査した研究報告を発表した。

[山下裕毅, ITmedia] ()
Innovative Tech:

カナダのマニトバ大学などに所属する研究者らは、どんな次元でも一定の幅を保ちながら、球よりも小さい体積を持つ図形を発見した研究報告を発表した。

[山下裕毅, ITmedia] ()
ちょっと昔のInnovative Tech:

英マンチェスター大学に所属する研究者らは2023年7月、イギリス国営宝くじで毎回必ず当たる27枚の宝くじの組み合わせを発見した研究報告を発表した。

[山下裕毅, ITmedia] ()
Innovative Tech:

イタリアのフィレンツェ大学などに所属する研究者らは、時間が量子もつれから生じるという理論モデルを提唱した研究報告を発表した。

[山下裕毅, ITmedia] ()
Innovative Tech:

英バース大学に所属する研究者らは、ユーザーの指の動きと指圧に応じて表面が柔軟に変形するソフトなタッチスクリーンを提案した研究報告を発表した。

[山下裕毅, ITmedia] ()
Innovative Tech:

英インペリアル・カレッジ・ロンドン(ICL)の教授であり、数学者のケビン・バザードさんは、数学者が等式の概念をどのように使用しているか、そしてそれが数学の形式化を試みる際にどのような影響を与えるかについて議論した研究報告を発表した。

[山下裕毅, ITmedia] ()
Innovative Tech:

英サリー大学と米カリフォルニア大学サンディエゴ校に所属する研究者らは、時間が過去から未来へ一方向にしか流れない理由を探究した研究報告を発表した。

[山下裕毅, ITmedia] ()
ちょっと昔のInnovative Tech:

米スタンフォード大学や米UCバークレー、米ペンシルベニア大学に所属する研究者らが2019年、幼少期にポケモン(ポケットモンスター)に熱中していたことが、成人してから脳の機能的構造にどのような影響を与えているかを調べた研究報告を発表した。

[山下裕毅, ITmedia] ()
Innovative Tech:

フィンランドのヘルシンキ大学やスペインのマドリードカルロス3世大学に所属する研究者らは、VR内で飲酒するユーザーの問題を明らかにした研究報告を発表した。

[山下裕毅, ITmedia] ()
Innovative Tech:

米イェール大学などに所属する研究者らは、数学の超難解「幾何学的ラングランズ予想」を証明したと主張する5つの論文(計1000ページ以上)をWebページで公開した。

[山下裕毅, ITmedia] ()
ちょっと昔のInnovative Tech:

米USC Keck School of Medicineや米UCSDなどに所属する研究者らは2018年、ソーシャルメディアや動画、テキストメッセージなどの使用頻度と、ADHD(注意欠陥・多動性障害)の症状発症との関連性を調べた研究報告を発表した。

[山下裕毅, ITmedia] ()
Innovative Tech:

英マンチェスター大学とオーストラリアのメルボルン大学の研究者らは、天然シリコンに含まれる不純物を取り除いた超高純度のシリコンを用い、信頼性の高い量子ビットを製造する方法を提案した研究報告を発表した。

[山下裕毅, ITmedia] ()
ちょっと昔のInnovative Tech:

フランスのRoyal Caninなどに所属する研究者らは、犬と猫の寿命に関する大規模調査を示した研究報告を発表した。

[山下裕毅, ITmedia] ()
ちょっと昔のInnovative Tech:

明治大学やソフトバンク、NTTドコモ、ドワンゴに所属する研究者らは、動画配信における顔出し、2DCGアバター、3DCGアバターの3種類の配信スタイルが視聴者にとってどれほど影響があるのかを比較調査した研究報告を発表した。

[山下裕毅, ITmedia] ()
Innovative Tech:

中国科学院や中国の白酒メーカーである五粮液などに所属する研究者らは、異なるアルコール度数や温度によって味わいなどが変化するメカニズムを解明するために検証した研究報告を発表した。

[山下裕毅, ITmedia] ()
Innovative Tech:

フランスの量子コンピューティング・スタートアップ「Alice & Bob」などに所属する研究者らは「シュレーディンガーの猫」にヒントを得た量子ビットが、従来にない長時間にわたってエラーを起こさずに機能することを明らかにした研究報告を発表した。

[山下裕毅, ITmedia] ()
Innovative Tech:

米ボイシ州立大学などに所属する研究者らは、インターネット接続を遮断された規制の厳しいPCであっても、CPUの処理速度を意図的に操作することで、一部のアプリケーションでひそかにデータをやりとりできる攻撃を提案した研究報告を発表した。

[山下裕毅, ITmedia] ()
Innovative Tech:

京都大学霊長類研究所(霊長研)に所属していた研究者らは、国内有数の研究拠点であった霊長研が2021年度末に事実上解体されるに至った経緯を、裁判記録や公的資料を精査して分析した報告書を発表した。

[山下裕毅, ITmedia] ()
Innovative Tech:

カナダのトロント大学にある研究機関「Citizen Lab」は、中国で広く利用されているキーボードアプリに関する最新の調査報告を公開した。報告書によると、中国の主要なクラウドベースのスマホキーボードアプリに脆弱性が認められたという。

[山下裕毅, ITmedia] ()
ちょっと昔のInnovative Tech:

富士ゼロックスの研究技術開発本部に所属していた柴田博仁さん(現在:群馬大学教授)が2009年に発表した論文「大画面ディスプレイ・多画面ディスプレイの導入による業務効率化の測定」は、大画面や複数ディスプレイの導入効果を定量的に評価した研究報告だ。

[山下裕毅, ITmedia] ()
Innovative Tech:

英ブリストル大学などの研究者らは、スーパーマリオシリーズ4作品(スーパーマリオブラザーズ、スーパーマリオブラザーズ3、スーパーマリオワールド、スーパーマリオ64)を対象に、これまでに報告されている237件のバグを調査した研究報告を発表した。

[山下裕毅, ITmedia] ()
Innovative Tech:

大阪大学とシンガポールの南洋理工大学に所属する研究者らは、生きている昆虫(マダガスカルオオゴキブリ)に小型の電子制御装置を付けてサイボーグ化し、未知の複雑な地形を移動させるナビゲーションシステムを提案した研究報告を発表した。

[山下裕毅, ITmedia] ()
Innovative Tech:

オランダのアムステルダム大学に所属する研究者らは、空間記憶を持つ粒子が同じ経路を2度と通らないよう跳ね返り続けると、多角形のテーブル上で複雑なパターンが生成されることを明らかにした研究報告を発表した。

[山下裕毅, ITmedia] ()
Innovative Tech:

バングラデシュのDept. of CSE BRAC Universityなどに所属する研究者らは、国歌の音楽的特徴が国民の心理や行動パターンに与える影響について調査した。

[山下裕毅, ITmedia] ()
ちょっと昔のInnovative Tech:

米デューク大学などに所属する研究者らは2019年に、45歳の時点での歩行速度と身体機能、加齢の速度、脳の構造、神経認知機能との関連を調べた研究報告を発表した。

[山下裕毅, ITmedia] ()
Innovative Tech:

早稲田大学と産業技術総合研究所に所属する研究者らは、プロジェクターで投影する人や車などで物体認識システムを欺くことができるかを分析し、対応手法を提案した研究報告を発表した。

[山下裕毅, ITmedia] ()
ちょっと昔のInnovative Tech:

神戸大学大学院と東邦大学に所属する研究者らは2018年に、授乳中のスマートフォン操作が乳児のぐずりを引き起こしてるのかを分析した研究報告を発表した。

[山下裕毅, ITmedia] ()
Innovative Tech:

東京大学大学院情報理工学系研究科と広島大学脳・こころ・感性科学研究センターに所属する研究者らは、音楽の和音列が人間の身体感覚や感情にどのように影響を与えるかを探究した研究報告を発表した。

[山下裕毅, ITmedia] ()
Innovative Tech:

米ノースウェスタン大学などに所属する研究者らは、膀胱機能を継続的にモニタリングできるワイヤレスな埋め込み型デバイスを提案した研究報告を発表した。

[山下裕毅, ITmedia] ()
Innovative Tech:

米カリフォルニア大学サンディエゴ校と米シカゴ大学に所属する研究者らは、クラウドベースのメールフィルタリングサービスの脆弱性を指摘した研究報告を発表した。

[山下裕毅, ITmedia] ()
Innovative Tech:

筑波大学と東京都立大学に所属する研究者らは、激しい運動によって体重が増加する傾向を示した研究報告である。

[山下裕毅, ITmedia] ()
ちょっと昔のInnovative Tech:

ドイツのシャリテ・ベルリン医科大学などに所属する研究者らは2021年に、無作為に生成した数列に個人特有のパターンが含まれることを示した研究報告を発表した。その数列を同一人物が書いたか、それとも別人が書いたかを判定するシステムを開発し、証明した。

[山下裕毅, ITmedia] ()
Innovative Tech:

米Cornell Tech、イスラエル工科大学、米Intuitに所属する研究者らは、生成AIが組み込まれたアプリケーションを攻撃するマルウェアを提案した研究報告を発表した。

[山下裕毅, ITmedia] ()
Innovative Tech:

イリノイ大学アーバナ・シャンペーン校やテキサス大学オースティン校などに所属する米研究チームは、AppleのMシリーズチップなどの脆弱性を用いて秘密鍵を復元するサイドチャネル攻撃を提案した研究報告を発表した。

[山下裕毅, ITmedia] ()
Innovative Tech:

東京工業大学 渡辺研究室に所属する研究者らは、明るい環境と対象物を明るくフルカラーで投影できるプロジェクションマッピングを両立した研究報告を発表した。

[山下裕毅, ITmedia] ()
Innovative Tech:

カナダの研究所Perimeter Institute for Theoretical Physicsとエジンバラ大学に所属する研究者らは、繰り返さないパターンであるペンローズ・タイリングが、量子コンピュータの誤り訂正に応用できることを提案した研究報告を発表した。

[山下裕毅, ITmedia] ()
Innovative Tech:

神戸市立工業高等専門学校の髙田研究室に所属する研究者らは、耳を動かす“耳ぴく”を操作入力に活用する眼鏡型デバイスを提案した研究報告である

[山下裕毅, ITmedia] ()
Innovative Tech:

イスラエルのネゲヴ・ベン・グリオン大学に所属する研究者らは、大規模言語モデル(LLM)を活用したAIチャットbotが生成するテキスト回答を復元するサイドチャネル攻撃を提案した研究報告を発表した。

[山下裕毅, ITmedia] ()
Innovative Tech:

国士舘大学に所属する研究者らは、ピアニストが演奏にどのような感情を込めているかを演奏中の顔の表情から分析する手法を提案した研究報告を発表した。

[山下裕毅, ITmedia] ()
Innovative Tech:

金沢大学に所属する研究者らは、各キースイッチを立体的に自由にレイアウトできる自作3次元キーボードシステムを提案した研究報告を発表した。

[山下裕毅, ITmedia] ()
Innovative Tech:

米Google DeepMindなどに所属する研究者らは、米OpenAIのGPT-4や米GoogleのPaLM-2などのクローズドな大規模言語モデルから、モデルの一部を盗み出す攻撃を提案した研究報告を発表した。

[山下裕毅, ITmedia] ()
Innovative Tech:

米ワシントン大学などに所属する研究者らは、大規模言語モデル(LLM)がアスキーアートを正しく認識できないという脆弱性を利用して、LLMに有害なコンテンツを出力させる新しいジェイルブレーク(脱獄)攻撃を提案した研究報告を発表した。

[山下裕毅, ITmedia] ()
Innovative Tech:

英ケンブリッジ大学、米プリンストン大学、ドイツのMax Planck Institute for Empirical Aestheticsに所属する研究者らは、古代ギリシャの哲学者ピタゴラスが提唱した協和音が整数比に基づくという理論に新たな洞察を加えた研究報告を発表した。

[山下裕毅, ITmedia] ()
Innovative Tech:

スイスのチューリッヒ大学に所属する研究者らは、ライブで聞く音楽は録音された音楽よりも強く感情を動かすことを示した研究報告を発表した。

[山下裕毅, ITmedia] ()
Innovative Tech:

東京大学苗村研究室に所属する研究者らは、氷に直接触れて操作するゲームコントローラーを提案した研究報告を発表した。

[山下裕毅, ITmedia] ()
Innovative Tech:

米フロリダ大学とセキュリティ企業CertiKに所属する研究者らは、電源アダプターからの電圧ノイズを悪用してワイヤレス充電器を乗っ取り、充電中のスマートフォンや周囲のデバイスに対してさまざまな攻撃を行う手法が提案した研究報告を発表した。

[山下裕毅, ITmedia] ()
Innovative Tech:

東京大学大学院、ピティナ音楽研究所、高知工科大学、京都大学大学院に所属する研究者らは、ピアノコンクールにおける参加者のピアノ演奏をMIDIデータとして取得し、複数の審査員による合否基準とどのような結び付きがあるかを分析した研究報告を発表した。

[山下裕毅, ITmedia] ()
Innovative Tech:

中国の湖南大学などに所属する研究者らは、イヤフォン/ヘッドフォンで聞いている音を離れた場所から盗聴できる手法を提案した研究報告を発表した。

[山下裕毅, ITmedia] ()
Innovative Tech:

中国の浙江大学や米ミシガン大学、米ノースイースタン大学に所属する研究者らは、電磁干渉(EMI)を利用して、他人のキーボードに物理的に触れることなく偽のキーストロークを注入できる攻撃を提案した研究報告を発表した。

[山下裕毅, ITmedia] ()
Innovative Tech:

オセロで初期局面から双方のプレイヤーがミスをせずに打ち続ければ結果は引き分けになることを証明したと主張する論文が2024年1月にプレプリントとして発表された。この論文の日本語解説記事として学会誌「情報処理」に載った記事を紹介する。

[山下裕毅, ITmedia] ()
Innovative Tech:

米ミシガン大学や中国の浙江大学、米ノースイースタン大学に所属する研究者らは、壁越しのカメラに映る映像をリアルタイムに盗聴するサイドチャネル攻撃を提案した研究報告を発表した。

[山下裕毅, ITmedia] ()
Innovative Tech:

ペンシルベニア大学などに所属する研究者らは、音楽作品を情報ネットワークへと変換し、作品が内包する情報量と伝達効率を調査した研究報告を発表した。

[山下裕毅, ITmedia] ()
Innovative Tech:

中国の華中科技大学などに所属する研究者らは、スマートフォンによる指紋認証時の摩擦音を録音し解析することで、その指紋を復元する自動指紋識別システム(AFIS)へのサイドチャネル攻撃を提案した研究報告を発表した。

[山下裕毅, ITmedia] ()
Innovative Tech:

スイスのETH Zurichに所属する研究者らは、牛乳を利用して古いコンピュータのマザーボードなどの電子廃棄物(E-waste)から金やその他の金属を抽出する方法を提案した研究報告を発表した。

[山下裕毅, ITmedia] ()
Innovative Tech:

Google DeepMindに所属する研究者らは、これまでの定石である探索アルゴリズムを使用せずに、AIがチェスにおいて人間のグランドマスターに匹敵するレベルに到達できることを示した研究を発表した。

[山下裕毅, ITmedia] ()
Innovative Tech:

シンガポール国立大学に所属する研究者らは、開錠時に鍵穴に鍵を挿入した際の音をスマートフォンのマイクで捉え、その音響信号だけで鍵の形状を推測する攻撃を提案した研究報告を発表した。

[山下裕毅, ITmedia] ()
Innovative Tech:

情報処理学会の学会誌「情報処理」の2019年1月発行分で「情報学者が競馬予想に踏み出すときに知っておくべきこと」と題した解説記事が掲載された。AIを活用して利益が出る馬券を買うために考慮しなければならない競馬予想に関することが記されている。

[山下裕毅, ITmedia] ()
Innovative Tech:

米ジョージア工科大学に所属する研究者らは、ポケモンバトルのようなコマンドバトルゲームで人間並みの性能を達成する大規模言語モデル(LLM)を搭載した自律型AIエージェントを提案した研究報告を発表した。

[山下裕毅, ITmedia] ()
Innovative Tech:

東京工業大学、ニューヨーク州立大学バッファロー校、神戸大学、京都大学の研究グループは、日本、中国、韓国の学術界における性差の特殊性を明らかにした研究報告を発表した。

[山下裕毅, ITmedia] ()
Innovative Tech:

米国の研究機関であるAperture Internet Laboratoryは、Linuxで動作する中国のインターネット検閲システム「グレートファイアウォール」をオープンソースで実装したシステム「OpenGFW」を発表した。

[山下裕毅, ITmedia] ()
Innovative Tech:

ノルウェーのNLA University Collegeに所属する研究者Oleksandr Kapranovさんはは、気候変動抗議の一環として有名な絵画に食品を投げつける行為を報じる英国メディアを分析した研究報告を発表した。

[山下裕毅, ITmedia] ()
Innovative Tech:

米マサチューセッツ工科大学の研究者らは、スマートフォンやタブレットなどの電子機器に搭載している環境光センサーを利用して、ユーザーのタッチ操作や手のジェスチャーを取得する攻撃に関する研究報告を発表した。

[山下裕毅, ITmedia] ()
Innovative Tech:

ブラジルのラブラス国立大学に所属する研究者らがは、学生の筆記試験にChatGPTの使用を認めた結果を考察した研究報告である。

[山下裕毅, ITmedia] ()
Innovative Tech:

米ハーバード大学などに所属する研究者らは、マルチビタミン/ミネラル(MVM)サプリメントの摂取が高齢者の認知機能に与える影響を調査した研究報告を発表した。

[山下裕毅, ITmedia] ()
Innovative Tech:

中国の武漢大学やシンガポールの南洋理工大学などに所属する研究者らは、スマートフォンを使用して、隠しワイヤレスカメラの検出と位置特定を行う手法を提案した研究報告を発表した。

[山下裕毅, ITmedia] ()
Innovative Tech:

米ノースカロライナ大学チャペルヒル校と米マーシャル大学に所属する研究者らは、クマムシが過酷な環境下でも生き抜くメカニズムを解明した研究報告を発表した。

[山下裕毅, ITmedia] ()
Innovative Tech:

米カリフォルニア大学アーバイン校、米フロリダ大学、米Toyota InfoTech Labs、電気通信大学に所属する研究者らは、赤外線レーザーを用いて交通標識にスポット光を照射し、自動運転車の認識システムを誤認させる攻撃を提案した研究報告を発表した。

[山下裕毅, ITmedia] ()
Innovative Tech:

神戸大学の塚本・寺田研究室に所属する研究者らは、対面での会話中に表情を豊かに見せることで話し相手の印象を良くするウェアラブル表情拡張システムを提案した研究報告を発表した。

[山下裕毅, ITmedia] ()
Innovative Tech:

バングラデシュのIslamic University of Technology、米サウスカロライナ大学、米スタンフォード大学、米Amazon AIに所属する研究者らは、大規模言語モデルにおける幻覚を軽減するための32のテクニック(研究)を紹介した研究報告を発表した。

[山下裕毅, ITmedia] ()
Innovative Tech:

2023年4月、東京の公立小学校に通う8歳の小学3年生(男子)が「基本情報技術者試験」(FE)と「情報セキュリティマネジメント試験」(SG)に最年少で合格した。合格者はどのような学習方法を行っていたのだろうか。

[山下裕毅, ITmedia] ()
Innovative Tech:

公立はこだて未来大学の塚田研究室に所属する研究者らは、押しボタンの押し心地(重さ、深さ、カチッといった感触など)を動的に変更できるデバイスを提案した研究報告を発表した。

[山下裕毅, ITmedia] ()
Innovative Tech:

Google ResearchやMIT CSAILに所属する研究者らは、合成画像と合成キャプションから視覚表現を学習するアプローチを提案した研究報告を発表した。

[山下裕毅, ITmedia] ()
Innovative Tech:

スペインのConsejo Superior deInvestigacionesCientificas(CSIC)に所属する研究者らは、人間の細胞に共鳴周波数が存在するかを検証した研究報告を発表した。

[山下裕毅, ITmedia] ()
Innovative Tech:

北陸先端科学技術大学院大学の佐藤俊樹研究室に所属する研究者らは、シャボン膜を凍結させたスクリーンを提案した研究報告を発表した。

[山下裕毅, ITmedia] ()
Innovative Tech:

米JPMorgan AI Researchに所属する研究者らは、複雑なレイアウトを持つ文書(請求書、領収書、契約書、注文書、フォームなど)の自動解析を行う大規模言語モデル(LLM)を提案した研究報告を発表した。

[山下裕毅, ITmedia] ()
Innovative Tech:

英University of East Londonや米University of Texas Health Science Center at Houstonなどに所属する研究者らは、家庭で使用するヘッドセットを用いて脳に定期的に電気を流すことによるうつ病への効果とその安全性を検証した研究報告を発表した。

[山下裕毅, ITmedia] ()
Innovative Tech:

慶應義塾大学の杉浦裕太研究室に所属する研究者らは、腹部に装着するウェアラブルロボットを使用し、衣服を介した視覚・触覚提示手法を提案する研究報告を発表した。

[山下裕毅, ITmedia] ()
Innovative Tech:

カナダのトロント大学とNational Research Council Canadaに所属する研究者らは、ジグソーパズルを解くのに最適なテーブルのサイズを数学的に解明した研究報を発表した。

[山下裕毅, ITmedia] ()
Innovative Tech:

明治大学の渡邊研究室に所属する研究者らは、ヘッドフォンやイヤフォンを装着している人のみが聞こえる音声や音楽を外部から挿入するシステムを提案した研究報告を発表した。

[山下裕毅, ITmedia] ()
Innovative Tech:

スウェーデンのリンショーピング大学に所属する研究者らは、水耕栽培用の新しい電気伝導性の栽培基盤“電子土壌”を提案した研究報告を発表した。「eSoil」と名付けた基盤に電気刺激を与えることで、植物の成長速度を向上できるという。

[山下裕毅, ITmedia] ()
Innovative Tech:

北海道大学のヒューマンコンピュータインタラクション研究室に所属する研究者らは、VRヘッドマウントディスプレイ(HMD)を置くと置き台ごと動くコンパニオンロボットになるシステムを提案した研究報告を発表した。

[山下裕毅, ITmedia] ()
Innovative Tech:

東京大学馬場研究室に所属する研究者ら、好みの顔画像を簡単なスワイプ操作だけで生成できる手法を提案した研究報告を発表した。

[山下裕毅, ITmedia] ()
Innovative Tech:

明治大学の宮下芳明教授は、飲食物の味を過去や未来の味に変化させる手法を提案した研究報告を発表した。主に未熟なトマトや作りたてのカレーの味を数日後の味に変えること、熟れたトマトや一晩置いたカレーの味を以前の味に戻すことが可能かを検証した。

[山下裕毅, ITmedia] ()
Innovative Tech:

東京工業大学と青山学院大学に所属する研究者らは、動いている人が見るとモザイクがかかったように認識され、止まっている人が見ると通常の画像として認識される視線誘導手法を提案した研究報告を発表した。

[山下裕毅, ITmedia] ()
Innovative Tech:

米ライス大学に所属する研究者は、人間の目や従来のカメラでは捉えられないものを写し出す次世代のカメラ技術を提案した研究報告を発表した。

[山下裕毅, ITmedia] ()
Innovative Tech:

米ワシントン大学に所属する研究者らは、Google Street Viewなどの静止画をアニメーション化する手法を提案した研究報告を発表した。静止したシーンの画像に自然に振る舞う歩行者と車を自動的に配置することで動画に変換する。

[山下裕毅, ITmedia] ()
Innovative Tech:

東京大学大学院 割澤研究室に所属する研究者らは、振動で袖をなびかせて強風に煽られている感覚を再現できるウェアラブル触覚デバイスを提案する研究報告を発表した。

[山下裕毅, ITmedia] ()
Innovative Tech:

米ラトガース大学に所属する研究者らは、人間の話す声によって引き起こされる微細な振動を、部屋の中の物体からミリ波(mmWave)デバイスで検出して声を復元する盗聴攻撃を提案した研究報告を発表した。

[山下裕毅, ITmedia] ()
Innovative Tech:

米ニューヨーク大学と米Metaに所属する研究者らは、iPhone付きのマジックハンドで家事用ロボットを容易に教育するフレームワークを提案する研究報告を発表した。

[山下裕毅, ITmedia] ()
Innovative Tech:

東京大学大学院割澤研究室に所属する研究者らは、柔らかい毛並みの質感の触覚を非接触で提示する手法を提案した研究報告を発表した。

[山下裕毅, ITmedia] ()
Innovative Tech:

香港城市大学と米ジョージ・メイソン大学に所属する研究者らは、スマートフォンのディスプレイ内指紋センサーから指紋データを復元するサイドチャネル攻撃を提案した研究報告を発表した。

[山下裕毅, ITmedia] ()
Innovative Tech:

米セントルイス・ワシントン大学に所属する研究者らは、自分の声が音声合成されないための防御ツールを提案した研究報告を発表した。

[山下裕毅, ITmedia] ()
Innovative Tech:

広島市立大学大学院情報科学研究科に所属する研究者らは、小学校で普及している端末のパスワード問題を取り上げ、代替案として学校向けのパスワードを用いない指紋ベースのFIDO認証適用の可能生と課題について調査した研究報告を発表した。

[山下裕毅, ITmedia] ()
Innovative Tech:

米Metaや米HuggingFaceなどに所属する研究者らは、難しいタスクではなく、人間にとって簡単なタスクを達成する大規模言語モデル(LLM)を評価するためのベンチマークを発表した。

[山下裕毅, ITmedia] ()
Innovative Tech:

中国のAlibaba Groupなどに所属する研究者らは、画像内のキャラクターや人物をアニメーション化する手法を提案した研究報告を発表した。

[山下裕毅, ITmedia] ()
Innovative Tech:

横浜国立大学に所属する研究者らは、自動運転車から検知されない車両が作れるのかを検証した研究報告を発表した。

[山下裕毅, ITmedia] ()
Innovative Tech:

東海大学に所属する研究者らは、最大100m離れた場所からQRコードに不可視光レーザーを照射し、偽装QRコードに変更する手法を提案する研究報告を発表した。ユーザーが攻撃中のQRコードをスキャンすると、悪性サイトへ誘導されるリスクがある。

[山下裕毅, ITmedia] ()
Innovative Tech:

岐阜大学に所属する研究者らは、鵜飼で鵜となって鮎を丸のみする体験ができる装置に関する研究報告を発表した。

[山下裕毅, ITmedia] ()
Innovative Tech:

米シカゴ大学に所属する研究者らは、遠距離から撮影した指の動きを解析することにより、タイピングされた内容を推測する新しい攻撃方法を提案した研究報告を発表した。

[山下裕毅, ITmedia] ()
Innovative Tech:

米ジョージア工科大学などに所属する研究者らは、Mac、iPad、iPhoneなどのApple製品に搭載のSafariを標的としたサイドチャネル攻撃に関する研究報告を発表した。

[山下裕毅, ITmedia] ()
Innovative Tech:

スロベニアのヨージェフ・ステファン研究所Humar Labに所属する研究者らは、せっけん泡(シャボン玉)を光学的な共振器として使用し、レーザー光を放出する技術を提案した研究報告を発表した。

[山下裕毅, ITmedia] ()
Innovative Tech:

日立製作所に所属する研究者らは、大規模言語モデルが生成するコードの安全性に及ぼす、日本語と英語の入力の違いについて検証した研究報告を発表した。

[山下裕毅, ITmedia] ()
Innovative Tech:

米カリフォルニア大学サンディエゴ校や米Microsoftなどに所属する研究者らは、スマートフォンのGUI(グラフィカルユーザーインタフェース)ナビゲーション用にGPT-4Vを基盤として構築されたエージェントシステムを提案した研究報告を発表した。

[山下裕毅, ITmedia] ()
Innovative Tech:

NTT社会情報研究所と慶應義塾大学の研究者らは、音声合成技術によって生成された、本人の声と酷似した合成音声が利用される場面において主張しうる権利について、著作権、パブリシティ権、個人情報の観点からの解釈を探求した研究報告を発表した。

[山下裕毅, ITmedia] ()

米ワシントン大学と米プリンストン大学に所属する研究者らは、任意の文章が大規模言語モデル(LLM)で事前学習されているかを検出できるツールを提案した研究報告を発表した。

[山下裕毅, ITmedia] ()
Innovative Tech:

米シカゴ大学に所属する研究者らは、同じVR空間で作業をしているアバターの指の動きから入力内容を復元する攻撃を提案した研究報告を発表した。

[山下裕毅, ITmedia] ()
Innovative Tech:

米ウィスコンシン大学マディソン校に所属する研究者らは、HTMLソースコードからのパスワード、クレジットカード情報などのユーザーデータを抽出可能なブラウザ拡張機能について、多数の人気Webサイトが脆弱であることを明らかにした研究報告を発表した。

[山下裕毅, ITmedia] ()
Innovative Tech:

東京大学に所属する研究者らは、フィードバックされた集中力を用いて祭壇に埋まった聖剣を抜くというVR体験を提案した研究報告を発表した。

[山下裕毅, ITmedia] ()
Innovative Tech:

米Microsoftは、生成AIを開発する方法を学べる初学者向け教材をGitHubで公開した。生成AIとは何かから始め、プロンプトエンジニアリングの基礎、テキスト生成やチャットアプリケーションの構築など、生成AIに関する一連の内容が組み込まれている。

[山下裕毅, ITmedia] ()
Innovative Tech:

米国のハワード・ヒューズ医学研究所(HHMI)に所属する研究者らは、ラットが“想像力”を持っていることを示す研究結果を発表した。

[山下裕毅, ITmedia] ()
Innovative Tech:

米ミシガン大学、米コロンビア大学、米Microsoft、南カリフォルニア大学に所属する研究者らは、訪れたWebサイドから404エラーを検出して新しいURLを提供する自動システムを提案した研究報告を発表した。

[山下裕毅, ITmedia] ()
Innovative Tech:

米Microsoft Azure AIに所属する研究者らは、GPT-4で手書きの文字や図を読み取れるようになる技術「GPT-4V(ision)」を利用してビデオの内容を詳細なスクリプトに変換し、大規模言語モデルに高度なビデオ理解能力を与えるという研究報告を発表した。

[山下裕毅, ITmedia] ()
Innovative Tech:

デンマーク工科大学とイタリアのモデナ・レッジョ・エミリア大学に所属する研究者らは、回転する磁石の数cm下で別の磁石が安定して浮上する現象についてのメカニズムを明らかにした研究報告を発表した。

[山下裕毅, ITmedia] ()
Innovative Tech:

米Metaやカナダのマギル大学などに所属する研究者らは、環境と直接対話せずに大規模言語モデル(LLM)からのフィードバックを用いてAIエージェントを強化学習で訓練する手法を提案した研究報告を発表した。

[山下裕毅, ITmedia] ()
Innovative Tech:

英国のシェフィールド大学と中国の北方工業大学に所属する研究者らは、ChatGPTなどのAIツールを操作してオンラインデータベースからの機密情報の流出させる、悪意のあるコードを作成するテストを行った研究報告を発表した。

[山下裕毅, ITmedia] ()
Innovative Tech:

香港大学などに所属する研究者らは、言語エージェントとのチャット対話を通じて、さまざまなWebサービスとやりとりできるオープンソース・フレームワークを提案した研究報告を発表した。

[山下裕毅, ITmedia] ()
Innovative Tech:

東京工業大学の渡辺研究室に所属する研究者らは、8ビットの画像を毎秒5600フレーム(fps)で投影するプロジェクター・システムを提案した研究報告を発表した。

[山下裕毅, ITmedia] ()
Innovative Tech:

スイスのETH Zurichに所属する研究者らは、SNSに書き込んだテキストから大規模言語モデル(LLM)を用いて個人情報を推測できるかを検証した研究報告を発表した。

[山下裕毅, ITmedia] ()
Innovative Tech:

京都大学数理解析研究所に所属する研究者らは、人間の精子細胞や一部の微生物(クラミドモナス藻)がニュートンの運動の第3法則に反して泳いでいるようにも見えることを明らかにした研究報告を発表した。

[山下裕毅, ITmedia] ()
Innovative Tech:

英サリー大学とByteDanceに所属する研究者らは、自然言語で指示された通りに音を分離するモデルを提案する研究を発表した。

[山下裕毅, ITmedia] ()
Innovative Tech:

米ジョージア工科大学と米Microsoft Researchに所属する研究者らは、VR/ARヘッドセットなどで、口を閉じたまま舌を使って操作するインタフェースに関する研究報告を発表した。

[山下裕毅, ITmedia] ()
Innovative Tech:

米マサチューセッツ工科大学(MIT)などに所属する研究者らは、人間の好みを対話で引き出す言語モデルを提案した研究報告を発表した。

[山下裕毅, ITmedia] ()
Innovative Tech:

中国の南京大学などに所属する研究者らは、レーザービームを放射し、1km離れた2点間で約9Gbpsの無線通信を行う携帯型の通信システムに関する研究報告を発表した。

[山下裕毅, ITmedia] ()
Innovative Tech:

米Microsoftや米ペンシルベニア州立大学などに所属する研究者らは、複数のエージェントの会話を使用してさまざまな大規模言語モデルベースのアプリケーションを作成するためのフレームワークを提案する研究報告を発表した。

[山下裕毅, ITmedia] ()
Innovative Tech:

オランダのアムステルダム大学をはじめとする研究者たちは、コイン投げにおける表と裏が出る確率が50%ではないという仮説を検証した研究報告を発表した。

[山下裕毅, ITmedia] ()
Innovative Tech:

米スタンフォード大学、米ノースウェスタン大学、米コーネル大学に所属する研究者らは、大規模言語モデル(LLM)が研究論文の査読を行えるかを調査した研究報告を発表した。

[山下裕毅, ITmedia] ()
Innovative Tech:

中国の清華大学や上海交通大学などに所属する研究者らは、超音波を使って何もない空気中の1点だけにに音を作り出すスピーカー・システムを提案した研究報告を発表した。このシステムでは、音が鳴る範囲や場所をきめ細かくコントロールできる。

[山下裕毅, ITmedia] ()
Innovative Tech:

香港理工大学に所属する研究者らは、近接無線通信(NFC)に非対応のスマートフォンでも、カメラでNFCリーダーを動画撮影するだけで決済が可能なシステムを提案した研究報告を発表した。

[山下裕毅, ITmedia] ()
Innovative Tech:

米カリフォルニア大学デービス校に所属する研究者らは、膀胱をリアルタイムにモニタリングするためのウェアラブル下着を提案した研究報告を発表した。

[山下裕毅, ITmedia] ()
Innovative Tech:

中国の北京郵電大学に所属する研究者らは、ミリ波(mmWave)を用いた非接触での血圧測定方法を提案した研究報告を発表した。

[山下裕毅, ITmedia] ()
Innovative Tech:

中国の浙江大学や米マサチューセッツ大学アマースト校などに所属する研究者らは、マイクによる録音を無効化する手法についての研究報告を発表した。

[山下裕毅, ITmedia] ()
Innovative Tech:

米カリフォルニア大学サンディエゴ校に所属する研究者らは、脳活動と運動レベルをイヤフォンで連続的に記録するための柔軟なスクリーン印刷センサーに関する研究報告を発表した。

[山下裕毅, ITmedia] ()
Innovative Tech:

米カリフォルニア工科大学に所属する研究者らは、女性ホルモンを検出する薄くて小型な汗センサーを提案した研究報告を発表した。このセンサーを利用すると、汗からの成分分析により、排卵や月経を正確に予測できるという。

[山下裕毅, ITmedia] ()
Innovative Tech:

Microsoft Researchに所属する研究者らは、単なる一部のコード編集にとどまらず、リポジトリ全体のコーディング作業を計画的に自動編集するための大規模言語モデルを使用したフレームワークを提案する研究報告を発表した。

[山下裕毅, ITmedia] ()
Innovative Tech:

米ワシントン大学と米Microsoftに所属する研究者らは、部屋内で話す人々の位置を特定し、その音声を分離するための小型の移動式音響ロボット群を提案した研究報告を発表した。

[山下裕毅, ITmedia] ()
Innovative Tech:

米ノースウェスタン大学に所属する研究者らは、大規模言語モデル(LLM)に対する脱獄(ジェイルブレーク)プロンプトを自動生成してくれるフレームワークを提案した研究報告を発表した。

[山下裕毅, ITmedia] ()
Innovative Tech:

米Google ResearchとSizzle AIに所属する研究者らは、多言語に対応した科学論文の類似度を測定するモデルと、多言語で書かれた論文が大量に収録されるデータセットを提案した研究報告を発表した。

[山下裕毅, ITmedia] ()
Innovative Tech:

Microsoftに所属する研究者らは、複数枚の画像とテキストを処理できる大規模言語モデル(LLM)を提案した研究報告を発表した。DeepSpeed-VisualChatは最大70Bパラメータの言語モデルのサイズにおいて優れた拡張性を示した。

[山下裕毅, ITmedia] ()
Innovative Tech:

米スタンフォード大学と米Adobe Researchの研究者らは、WebページやPDF論文、プレゼンテーション資料などの複雑な構造からなる特定のドキュメントに対するテキストプロントに適切に回答する、大規模言語モデル向けの方法を提案した研究報告を発表した。

[山下裕毅, ITmedia] ()
Innovative Tech:

スペインの研究機関「ICFO」に所属する研究者らは、ほぼ透明なイメージセンサーを提案した研究報告を発表した。

[山下裕毅, ITmedia] ()
Innovative Tech:

韓国のKAISTなどに所属する研究者らは、複数枚の顔写真から参照スタイルに応じた合成ポートレード写真を高品質に生成するシステムを提案した研究報告を発表した。

[山下裕毅, ITmedia] ()
Innovative Tech:

中国科学院などに所属する研究者らは、Stable Diffusionを利用して劣化画像を高品質な画像に復元する修復フレームワークを提案した研究報告を発表した。

[山下裕毅, ITmedia] ()
Innovative Tech:

米カリフォルニア大学サンタバーバラ校に所属する研究者らは、Wi-Fi信号のみを使用して壁越しの静止物体の高品質なイメージングを可能にするシステムを提案する研究報告を発表した。

[山下裕毅, ITmedia] ()
Innovative Tech:

カリフォルニア大学サンディエゴ校などに所属する研究者らは、政府や主要な金融機関、報道機関など有名なドメインになりすまして電子メールを送る攻撃を提案した研究報告を発表した。

[山下裕毅, ITmedia] ()
Innovative Tech:

香港城市大学などに所属する研究者らは、周囲のWi-Fi信号から無線周波数(RF)エネルギーを収集し、そのWi-Fiに接続しているモバイルデバイスが何をしているのかを特定する攻撃手法を提案した研究報告を発表した。

[山下裕毅, ITmedia] ()
Innovative Tech:

中国の南開大学や北京大学などに所属する研究者らは、1つのサービスで使っているパスワードを少し変えて別のサービスで使い回しているパスワードを予測して特定する攻撃を提案した研究報告を発表した。

[山下裕毅, ITmedia] ()
Innovative Tech:

中国科学院などに所属する研究者らは、移植用の人間の臓器を豚の体内で育成することに成功した研究報告を発表した。

[山下裕毅, ITmedia] ()
Innovative Tech:

中国の湖南大学、シンガポールの南洋理工大学などに所属する研究者らは、Wi-Fiハードウェアをハッキングすることなく、Wi-Fi経由でスマートフォンのキーストロークからパスワードを特定する攻撃を提案した研究報告を発表した。

[山下裕毅, ITmedia] ()
Innovative Tech:

米カーネギーメロン大学や米Appleなどに所属する研究者らは、アプリストアから新しいアプリを自動でインストールし、アプリ内操作を自動で行いデータを収集するとともに、モデルを継続的に自己学習させるUI学習向けクローラーを提案した研究報告を発表した。

[山下裕毅, ITmedia] ()
Innovative Tech:

米カーネギーメロン大学や中国の清華大学に所属する研究者らは、短い文章(プロンプト)だけから、自然言語処理(NLP)モデルを自動で作り出すフレームワークを提案した研究報告を発表した。

[山下裕毅, ITmedia] ()
Innovative Tech:

津田塾大学に所属する研究者らは、スマートフォンで動画を視聴している最中に、自動で目薬を差すシステムを提案した研究報告を発表した。

[山下裕毅, ITmedia] ()
Innovative Tech:

米Meta AIに所属する研究者らは、論文を記録したPDF内のテキストや数式を正確に読み取るモデルを提案した研究報告を発表した。

[山下裕毅, ITmedia] ()
Innovative Tech:

米Google Researchに所属する研究者らは、グラフ構造学習のベンチマーク戦略を提案するもので、既存のいくつかの方法を単一のモデルにまとめたフレームワークに関する研究報告を発表した。

[山下裕毅, ITmedia] ()
Innovative Tech:

中国の清華大学、北京郵電大学、テンセントなどに所属する研究者らは、さまざまなタスクを複数のエージェント(大規模言語モデルで駆動する自律AI)がメンバーを変えて協力して解決するシステムを提案した研究報告を発表した。

[山下裕毅, ITmedia] ()
Innovative Tech:

香港大学や清華大学に所属する研究者らは、ミリ波(mmWave)信号から音声を認識するストリーミング自動音声認識(ASR)システムを提案した研究報告を発表した。

[山下裕毅, ITmedia] ()
Innovative Tech:

米Microsoftなどに所属する研究者らは、米Metaが最近リリースしたCode LLM(コーディング専用大規模言語モデル)「Code Llama」をベースにしたコード専用生成AI「WizardCoder」を発表した。

[山下裕毅, ITmedia] ()
Innovative Tech:

中国のSenseTimeや浙江大学などに所属する研究者らは、大規模言語モデル(LLM)を用いて特定のアニメやテレビキャラクターの性格を模倣するチャットbotを構築するシステムを提案した研究報告を発表した。

[山下裕毅, ITmedia] ()
Innovative Tech:

米MIT CSAILなどの研究者らは、目には見えないタグを物に埋め込み追跡できるシステムを提案した研究報告を発表した。

[山下裕毅, ITmedia] ()
Innovative Tech:

米NVIDIAの研究者らは、複数人が同時に話す環境で特定の話者だけの音声を分離して識別する手法を提案した研究報告を発表した。

[山下裕毅, ITmedia] ()
Innovative Tech:

米Microsoftと中国科学院に所属する研究者らは、数学的推理能力を強化するモデルを提案した研究報告を発表した。

[山下裕毅, ITmedia] ()
Innovative Tech:

ドイツのベルリン工科大学などに所属する研究者らは、テスラ(Tesla)をハッキングし、有料機能をアンロックするなどの攻撃が行える脆弱性を提案した研究報告を発表した。

[山下裕毅, ITmedia] ()
Innovative Tech:

米ミシガン大学に所属する研究者らは、後ろからスマートフォンをのぞき見られる行為を防止するためのシステムを提案した研究報告を発表した。

[山下裕毅, ITmedia] ()
Innovative Tech:

スペインのバスク大学に所属する研究者らは、英語以外の言語で大規模言語モデル(LLM)駆動のAIチャットに入力するよりも、英語に翻訳してから入力する方が高い精度で回答されることを示した研究報告を発表した。

[山下裕毅, ITmedia] ()
Innovative Tech:

中国の浙江大学に所属する研究者らは、ユーザーが音声アシスタントに音声入力している際に横から不可聴音の悪意ある音声を混ぜて異なる入力内容に変更する攻撃を提案した研究報告である。

[山下裕毅, ITmedia] ()
Innovative Tech:

サイバーセキュリティ会社の米IOActiveに所属する研究者らは、カジノのカードシャッフルマシンをハッキングする手法を発表した。

[山下裕毅, ITmedia] ()
Innovative Tech:

中国のByteDanceに所属する研究者らがは、大規模言語モデル(LLM)に個性があるかを検証した研究報告を発表した。

[山下裕毅, ITmedia] ()
Innovative Tech:

米カーネギーメロン大学などに所属する研究者らは、大規模言語モデル(LLM)が有害なコンテンツを生成しない仕組みを無効にする手法を提案した研究報告を発表した。

[山下裕毅, ITmedia] ()
Innovative Tech:

イングランドのダラム大学などに所属する研究者らは、キーボードに対する深層学習ベースの音響サイドチャネル攻撃を提案した研究報告を発表した。

[山下裕毅, ITmedia] ()
Innovative Tech:

電気通信大学の梶本研究室に所属する研究者らは、ライブ配信者が反応した際の触覚をスマートフォンを介して提示する手法を提案した研究報告を発表した。

[山下裕毅, ITmedia] ()
Innovative Tech:

中国の上海交通大学やMeta AIなどに所属する研究者らは、ChatGPTなどの大規模言語モデル(LLM)が生成したテキストの事実誤認を検出するためのフレームワークを提案した研究報告を発表した。

[山下裕毅, ITmedia] ()
Innovative Tech:

米ノースイースタン大学などに所属する研究者らは、SMS(Short Message Service)を送ることで相手のスマートフォンの位置を特定するサイドチャネル攻撃を提案した研究報告を発表した。

[山下裕毅, ITmedia] ()
Innovative Tech:

カナダのウォータールー大学や米ミシガン大学などに所属する研究者らは、顕微鏡画像用のリアルタイム物体検出システムを提案した研究報告を発表した。

[山下裕毅, ITmedia] ()
Innovative Tech:

米メリーランド大学に所属する研究者らは、大規模言語モデル(LLM)が出力するテキストに対して電子透かし(ウォーターマーク)を入れるフレームワークを提案した研究報告である。

[山下裕毅, ITmedia] ()
Innovative Tech:

中国の清華大学などに所属する研究者らは、装着者の内耳を通して人間の脳をコンピュータに接続できる非侵襲的なインタフェースを提案した研究報告を発表した。

[山下裕毅, ITmedia] ()
Innovative Tech:

映像制作会社の米The Simulation(旧Fable Studio)に所属する研究者らは、テキストプロンプトに基づいてテレビ番組のエピソードを自動生成するAIショーランナーを提案した研究報告を発表した。

[山下裕毅, ITmedia] ()
Innovative Tech:

米Google Researchと米Google DeepMindに所属する研究者らは、Androidデバイスを自然言語で操作するための大規模な学習データセットを提案した研究報告を発表した。

[山下裕毅, ITmedia] ()
Innovative Tech:

米Cornell Techに所属する研究者らは、画像や音声に悪意あるプロンプトを含ませたプロンプト・インジェクション(生成AIに対しての攻撃)を提案した研究報告を発表した。

[山下裕毅, ITmedia] ()
Innovative Tech:

オーストラリアのクイーンズランド大学などに所属する研究者らは、英語を母語としない研究者のキャリア形成における言語障壁の影響を定量化した研究報告を発表した。

[山下裕毅, ITmedia] ()
Innovative Tech:

米ライス大学と米スタンフォード大学に所属する研究者らは、AI生成画像(合成データ)を用いて別の生成モデルが学習し続けると、その精度にどのような影響がでるのかを検証した研究報告を発表した。

[山下裕毅, ITmedia] ()
Innovative Tech:

Google DeepMindやGoogle Researchに所属する研究者らは、“医療画像をAIと人のどちらが診断した方が良いかを判断するAIツール”を提案した研究報告を発表した。

[山下裕毅, ITmedia] ()
Innovative Tech:

米Metaに所属する研究者らは、参加者グループの範囲指定により発生する、アンケート調査の偏ったデータをバランス調整するオープンソースのPyPythonパッケージを提案した研究報告を発表した。

[山下裕毅, ITmedia] ()
Innovative Tech:

米マイアミ大学に所属する研究者らは、情報探索タスクに検索エンジン(Google)とAIチャットツール(ChatGPT)を使用する際のユーザーにおける行動や考え方の違いを調査した研究報告を発表した。

[山下裕毅, ITmedia] ()
Innovative Tech:

米マサチューセッツ大学アマースト校などに所属する研究者らは、大規模言語モデル(LLM)が他のLLMエージェントや人間と協調して複雑なタスクを遂行する協調型エージェントの構築に役立つかどうかを調査した研究報告を発表した。

[山下裕毅, ITmedia] ()
Innovative Tech:

米Microsoftや香港浸会大学に所属する研究者らは、米Hugging Faceが5月に発表したCode LLM(コーディング専用大規模言語モデル)「StarCoder」を軽量で高精度に強化する手法を提案した研究報告を発表した。

[山下裕毅, ITmedia] ()
Innovative Tech:

米スタンフォード大学などに所属する研究者らは、大規模言語モデル(LLM)の性能について、入力コンテキストの長さや関連情報の位置を変えることでどのような影響があるかについて調査した研究報告を発表した。

[山下裕毅, ITmedia] ()
Innovative Tech:

シンガポール国立大学に所属する研究者らは、DNAでマルチカラー画像を直接記録する手法を提案した研究報告を発表した。2次元の光パターンをDNAに取り込み、96ピクセルで保存し取り出せる。

[山下裕毅, ITmedia] ()
Innovative Tech:

米ジョージア工科大学に所属する研究者らは、機械学習(ML)アーキテクチャの概念をアニメーションやビジュアライゼーションに変換できるPythonライブラリを提案した研究報告を発表した。

[山下裕毅, ITmedia] ()
Innovative Tech:

シンガポール国立大学と中国の浙江大学に所属する研究者らは、Excelを使用するように視覚的にWebスクレイピングタスクを設計し、実行できるカスタマイズ可能なWebクローラーシステムを提案した研究報告を発表した。

[山下裕毅, ITmedia] ()
Innovative Tech:

中国の北京航空航天大学やZhongguancun Laboratoryなどに所属する研究者らは、空港のX線セキュリティ検査の画像検出器を欺く手法を提案した研究報告を発表した。

[山下裕毅, ITmedia] ()
Innovative Tech:

中国のByteDanceと米ウィスコンシン大学マディソン校に所属する研究者らは、肖像画の写真1枚のみから見えない後頭部を含めた360度の3D頭部モデルを再構築するフレームワークを提案した研究報告を発表した。

[山下裕毅, ITmedia] ()
Innovative Tech:

中国の清華深セン国際大学院、Tencent AI Lab、Peng Cheng Laboratoryに所属する研究者らは、脳波(EEG)から高品質でリアルな画像を生成する拡散モデルを提案した研究報告を発表した。

[山下裕毅, ITmedia] ()
Innovative Tech:

中国の南開大学と米Indiana University Bloomingtonに所属する研究者らは、使わなくなったモバイルアプリにおけるアカウント削除に関する調査を行った研究報告を発表した。

[山下裕毅, ITmedia] ()
Innovative Tech:

米ミシガン州立大学に所属する研究者らは、被害者に気が付かれることなくスマートイヤフォン(Airpods、Pixel Budsなど)からスマートフォンに音声入力する不可聴攻撃を提案した研究報告を発表した。

[山下裕毅, ITmedia] ()
Innovative Tech:

米ラトガース大学と米テンプル大学に所属する研究者らは、裏面を指でタッチした際に個人認証を行うスマートフォンケースを提案した研究報告を発表した。

[山下裕毅, ITmedia] ()
Innovative Tech:

ドイツのFriedrich-Alexander-Universitat Erlangen-Nurnberg(FAU)とJulius Maximilians-Universitat Wurzburg(JMU)に所属する研究者らは、ミニチュアサイズの心臓の心室を生きたヒトの心筋細胞で3Dプリントする手法を提案した研究報告を発表した。

[山下裕毅, ITmedia] ()
Innovative Tech:

米セントラルフロリダ大学に所属する研究者らは、注意欠陥・多動性障害(ADHD)の子どもが動く要因を調査するための実験を行った研究報告を発表した。

[山下裕毅, ITmedia] ()
Innovative Tech:

米MITに所属する研究者らは、Twitterのbotアカウントを検出するために使われる既存のサードパーティー製ツールが正確ではないと実証した研究報告を発表した。

[山下裕毅, ITmedia] ()
Innovative Tech:

米メリーランド大学カレッジパーク校に所属する研究者らは、瞳に映る画像を3Dシーンで再構築する学習モデルを提案した研究報告を発表した。カメラで目の反射光を複数回取得し、それによって眼球に写る画像を3D形式で再現する。

[山下裕毅, ITmedia] ()
Innovative Tech:

米ジョージア工科大学などの研究チームは、VoIP(Voice over Internet Protocol)通話中の相手ノートPCのマイクから取得するバックグラウンドノイズだけで、相手が閲覧しているWebサイトを特定するサイドチャネル攻撃を提案した研究報告を発表した。

[山下裕毅, ITmedia] ()
Innovative Tech:

米ジョージア工科大学などの研究チームは、VoIP(Voice over Internet Protocol)通話中の相手ノートPCのマイクから取得するバックグラウンドノイズだけで、相手が閲覧しているWebサイトを特定するサイドチャネル攻撃を提案した研究報告を発表した。

[山下裕毅, ITmedia] ()
Innovative Tech:

英オックスフォード大学や英ケンブリッジ大学、英インペリアル・カレッジ・ロンドン、米トロント大学に所属する研究者らは、GPT-4などの大規模言語モデル(LLM)が別のLLMが生成したテキストを学習し続けるとどうなるかを調査した研究報告を発表した。

[山下裕毅, ITmedia] ()
Innovative Tech:

イスラエルのネゲヴ・ベン・グリオン大学に所属する研究者らは、スマートフォンと接続する周辺機器などの電源LED(電源ランプ)をカメラで撮影し、その映像を解析することでその機器から暗号化キーを盗む攻撃を提案した研究報告を発表した。

[山下裕毅, ITmedia] ()
Innovative Tech:

イスラエルのネゲヴ・ベン・グリオン大学とワイツマン科学研究所に所属する研究者らは、デスクライトの電球から音を復元するサイドチャネル攻撃を提案した研究報告を発表した。

[山下裕毅, ITmedia] ()
Innovative Tech:

NTTセキュリティ・ジャパンに所属する研究者らは、ChatGPTでフィッシングサイトを検出する手法を提案した研究報告を発表した。

[山下裕毅, ITmedia] ()
Innovative Tech:

Microsoftに所属する研究者らは、ユーザーが入力したテキストを大規模言語モデル(LLM)で認識し、それらに応じてMicrosoft Officeを制御する手法を提案した研究報告を発表した。

[山下裕毅, ITmedia] ()
Innovative Tech:

ドイツのHochschule DarmstadtとスイスのIdiap Research Instituteに所属する研究者らは、顔写真がプリントされたTシャツで顔認識システムを欺くプレゼンテーション攻撃(物理的な偽物で生体認証を欺く攻撃)を検証した研究報告を発表した。

[山下裕毅, ITmedia] ()
Innovative Tech:

英国のウォーリック大学に所属する研究者らは、誰かが仕込んだ隠しカメラを遠隔から盗聴できる攻撃を提案し、隠しカメラの脆弱性を指摘した研究報告を発表した。

[山下裕毅, ITmedia] ()
Innovative Tech:

東京大学梅谷研究室とイスラエルのライマン大学、オーストリア科学技術研究所に所属する研究者らは、元の形状を保持しつつ表面の再帰性反射を最適化することで物体をステルスデザインに変形するフレームワークを提案した研究報告を発表した。

[山下裕毅, ITmedia] ()
Innovative Tech:

英国の数学者ら、カナダのウォータールー大学と米National Museum of Mathematicsに所属する研究者らは、繰り返しパターンを作らず、鏡像なしで、2次元の表面を無限に敷き詰めることができる単一の非周期タイルを発見した研究報告を発表した。

[山下裕毅, ITmedia] ()
Innovative Tech:

米Snapと米ノースイースタン大学に所属する研究者らは、モバイル機器において、テキストプロンプトから2秒以内に画像を生成する拡散モデルを提案した研究報告を発表した。

[山下裕毅, ITmedia] ()
Innovative Tech:

カナダのトロント大学とシンガポールマネジメント大学に所属する研究者らは、出演者の動きや話の内容に応じて自律的に動くカメラマンロボットを提案した研究報告を発表した。

[山下裕毅, ITmedia] ()
Innovative Tech:

中国の浙江大学と清華大学に所属する研究者らは、自動運転車のカメラに音響信号を注入する攻撃を提案した研究報告を発表した。

[山下裕毅, ITmedia] ()
Innovative Tech:

米NVIDIA、米カリフォルニア工科大学、米テキサス大学オースティン校、米スタンフォード大学、米アリゾナ州立大学に所属する研究者らは、GPT-4を搭載し、Minecraftを学習しながら自動プレイするAIモデルを提案した研究報告を発表した。

[山下裕毅, ITmedia] ()
Innovative Tech:

スイス連邦工科大学ローザンヌ校(EPFL)などに所属する研究者らは、脳と脊髄を直接つなぐBrain-Spine Interface(BSI)を提案した研究報告を発表した。

[山下裕毅, ITmedia] ()
Innovative Tech:

中国のTencentと浙江大学に所属する研究者らは、市販のスマートフォンの指紋認証を解除する攻撃を提案した研究報告を発表した。

[山下裕毅, ITmedia] ()
Innovative Tech:

米UC DavisとドイツのMPI for Informaticsに所属する研究者らは、薬物を時間差で放出する錠剤の作り方を提案した研究報告を発表した。放出具合から逆算した形状を3Dプリンタで造形することで作り出す。

[山下裕毅, ITmedia] ()
Innovative Tech:

韓国のKAISTとS2W Inc.に所属する研究者らは、ダークウェブに特化した大規模言語モデルを提案した研究報告を発表した。

[山下裕毅, ITmedia] ()
Innovative Tech:

シンガポール国立大学と香港中文大学に所属する研究者らは、脳活動から見ている映像を復元する手法を提案した研究報告を発表した。磁気共鳴機能画像法(fMRI)で取得した脳活動から高品質な動画を再構成する。

[山下裕毅, ITmedia] ()
Innovative Tech:

米スタンフォード大学と韓国の慶尚大学校に所属する研究者らは、外部の温度や圧力を測定できる、皮膚に貼る柔軟で伸縮性が高い電子皮膚を提案した研究報告を発表した。

[山下裕毅, ITmedia] ()
Innovative Tech:

米カリフォルニア大学リバーサイド校に所属する研究者らは、VR/AR内のバーチャルキーボードを操作する際のユーザーの頭部の動きからタイピングしている単語や文字を予測する攻撃を提案した研究報告を発表した。

[山下裕毅, ITmedia] ()
Innovative Tech:

Trend Microの研究者らは、5月に開催したセキュリティイベントで「舞台裏:犯罪企業が数百万台のモバイル機器を事前に感染させる方法」という講演を行った。

[山下裕毅, ITmedia] ()
Innovative Tech:

中国の上海交通大学と浙江大学の研究者らは、遠隔から操作してスマートフォンの充電器などから人間のような音声を発声させ、音声アシスタントを攻撃する研究報告を発表した。

[山下裕毅, ITmedia] ()
Innovative Tech:

米ミシガン大学、米フロリダ大学、米ノースイースタン大学に所属する研究者らは、音波によって揺れるスマートフォンのカメラ部品から音声を復元する研究報告を発表した。

[山下裕毅, ITmedia] ()
Innovative Tech:

中国の浙江大学と武漢大学に所属する研究者らは、音声変換技術によって処理した音声から、ソース話者の声紋を復元する手法を提案した研究報告を発表した。

[山下裕毅, ITmedia] ()
Innovative Tech:

米カーネギーメロン大学に所属する研究者らは、パラパラ漫画のような連続する絵とテキストプロンプトを入力に、リアルな動画を生成する学習モデルを提案した研究報告を発表した。

[山下裕毅, ITmedia] ()
Innovative Tech:

カナダのUniversity of Guelphに所属する研究者らは、電子機器修理業界における顧客のプライバシーに関する調査を行った研究報告を発表した。

[山下裕毅, ITmedia] ()
Innovative Tech:

スウェーデンのリンショーピング大学とスウェーデン王立工科大学に所属する研究者らは、木材から動作するトランジスタが作れることを実証した研究報告を発表した。

[山下裕毅, ITmedia] ()
Innovative Tech:

イスラエルのHebrew University of Jerusalemと米ジョージア州立大学に所属する研究者らは、作成した複数の児童に扮したチャットbot(ハニーポット)に対して大人たちがどのようなアプローチを仕掛けてくるかを調査した研究報告を発表した。

[山下裕毅, ITmedia] ()
Innovative Tech:

スイス連邦工科大学ローザンヌ校に所属する研究者らは、動画を見るマウスの脳活動データから、見ている映像を復元する機械学習アルゴリズムを提案した研究報告を発表した。

[山下裕毅, ITmedia] ()
Innovative Tech:

米カーネギーメロン大学に所属する研究者らは、流体で形状変化する薄型触覚ディスプレイを提案した研究報告を発表した。スマートフォンのアプリやキーボードのキーなどを局所的に盛り上がらせて、ユーザーに物理ボタンの触覚を提供する。

[山下裕毅, ITmedia] ()
Innovative Tech:

東京工業大学アスピレーショナル・コンピューティング・ラボに所属する研究者らは、日本で提供される人気モバイルアプリからダークパターンを調査した研究報告を発表した。

[山下裕毅, ITmedia] ()
Innovative Tech:

フランスのIMT Atlantiqueに所属する研究者らは、装着者が見ているものに赤外線レーザーポインターを照射して画像を投影できるコンタクトレンズを提案した研究報告を発表した。

[山下裕毅, ITmedia] ()
Innovative Tech:

米Adobe Researchに所属する研究者らは、一般家庭でよく使われているインクジェットプリンタで紙に隠しARデータを埋め込める電子透かし技術を開発した。

[山下裕毅, ITmedia] ()
Innovative Tech:

米オレゴン州立大学に所属する研究者らは、電気使用状況を可視化する機器「スマートメーター」を制御して送電網を不安定にするサイバー攻撃を提案した研究報告を発表した。

[山下裕毅, ITmedia] ()
Innovative Tech:

米University of California, Irvine(UCI)に所属する研究者らは、現役で働くソフトウェアエンジニアのメンタルウェルビーイング(精神的健康)を調査した研究報告を発表した。

[山下裕毅, ITmedia] ()
Innovative Tech:

米マサチューセッツ工科大学(MIT)、米ブリガムアンドウィメンズ病院、米ニューヨーク大学に所属する研究者らは、胃の中で電気刺激を与えられるカプセル型デバイスを提案した研究報告を発表した。

[山下裕毅, ITmedia] ()
Innovative Tech:

IBM Research、Samsung AI、米メリーランド大学、米ミネソタ大学、米コロンビア大学に所属する研究者らは、データと理論を与えると、データを正確に記述する意味のある最も適した数式を導き出すシステムを提案した研究報告を発表した。

[山下裕毅, ITmedia] ()
Innovative Tech:

セキュリティ企業ESETの研究者らは、テストのために購入した中古の企業向けルーターの半数以上(56.25%)が、前の所有者によって完全にそのままの状態で残されていたことを示した研究報告を発表した。

[山下裕毅, ITmedia] ()
Innovative Tech:

米MITと米ニューヨーク州立大学バッファロー校に所属する研究者らは、皮膚から超音波を使って痛みを与えず薬物投与する経皮ウェアラブルデバイスを提案した研究報告を発表した。

[山下裕毅, ITmedia] ()
Innovative Tech:

中国の清華大学と北京大学に所属する研究者らは、大規模言語モデル(LLM)を利用したAndroidアプリケーションの自動化に焦点を当て、自然言語の記述をスマートフォン上の一連のアクションに変換して実行するシステムを提案した研究報告を発表した。

[山下裕毅, ITmedia] ()
Innovative Tech:

サウジアラビアのキング・アブドゥッラー科学技術大学に所属する研究者らは、画像の視覚的特徴を捉えて大規模言語モデル(LLM)で高品質な言語出力を行うシステムを提案した研究報告を発表した。

[山下裕毅, ITmedia] ()
Innovative Tech:

英グラスゴー大学に所属する研究者らは、見えない向こう側の物体の反射光を見た脳活動から、その物体を画像として再構築するブレインコンピュータインタフェース(BCI)を提案した研究報告を発表した。

[山下裕毅, ITmedia] ()
Innovative Tech:

米PeopleTecに所属する研究者らは、冷蔵庫の中を撮影した画像から、大規模言語モデル(LLM)がその内容で作れる料理レシピを考えてテキストで出力してくれる機械学習モデルを提案した研究報告を発表した。

[山下裕毅, ITmedia] ()
Innovative Tech:

米カーネギーメロン大学などの研究者らは、大規模言語モデル(LLM)が、より高品質な出力を生成するために、反復的な改良と自己評価を利用することを可能にする新しいフレームワークを提案した研究報告を発表した。

[山下裕毅, ITmedia] ()
Innovative Tech:

ドイツのダルムシュタット工科大学に所属する研究者らは、ChatGPTで生成した応答と人間が作った応答を区別することを目的としたさまざまなツールの有効性を評価し、その精度と信頼性を比較した研究報告を発表した。

[山下裕毅, ITmedia] ()
Innovative Tech:

米スタンフォード大学とGoogle Researchに所属する研究者らは、ChatGPTなどで制御したキャラクター25人が1つの町で一緒に生活したらどうなるかを検証した研究報告を発表した。

[山下裕毅, ITmedia] ()
Innovative Tech:

英UCLに所属する研究者らは、ポケモンGOでプレイヤーの自宅や職場を予測するサイバーストーキング攻撃が実際にできるのかを検証した研究報告を発表した。

[山下裕毅, ITmedia] ()
Innovative Tech:

米ライス大学に所属する研究者らは、1回の注射で大量の時間差放出ドラックを注入できる手法を提案した研究報告を発表した。注射後数週間から数カ月の時間差で体内にたまっている薬剤を自動放出することができる。

[山下裕毅, ITmedia] ()
Innovative Tech:

米Bloombergと米ジョンズ・ホプキンズ大学に所属する研究者らは、幅広い金融データで学習させた500億パラメータの大規模言語モデル(LLM)を提案した研究発表を発表した。

[山下裕毅, ITmedia] ()
Innovative Tech:

中国の浙江大学とMicrosoft Research Asiaに所属する研究者らは、大規模言語モデルと多数の機械学習モデルを連携し、ユーザーがテキストを入力するだけで、その内容を解決するための適切な機械学習を選んでくれるシステムを提案した研究報告を発表した。

[山下裕毅, ITmedia] ()
Innovative Tech:

スイスのチューリッヒ大学に所属する研究者らは、機械学習向け大規模データセットを作成するためのラベル付け作業(アノテーション)において、ChatGPTと人ではどちらがパフォーマンスが良いかを検証した研究報告を発表した。

[山下裕毅, ITmedia] ()
Innovative Tech:

Google、ETH Zurich、NVIDIA、Robust Intelligenceに所属する研究者らは、学習用データセットの一部を改ざんし、それらを学習した機械学習モデルを攻撃する手法を提案した研究報告を発表した。

[山下裕毅, ITmedia] ()
Innovative Tech:

米University of California Irvine(UCI)に所属する研究者らは、ボトックス注射を顔に投与することで、感情に関わる脳活動が変化することを実証した研究報告を発表した。

[山下裕毅, ITmedia] ()
Innovative Tech:

香港中文大学などに所属する研究者らは、スマートテレビを操作する家庭用の赤外線(IR)リモコンからIR信号を取得し、機密情報を抽出する攻撃を提案した研究報告を発表した。

[山下裕毅, ITmedia] ()
Innovative Tech:

イタリアのNational Research Council of Italyに所属する研究者らは、詐欺師が送る詐欺メールとのやりとりをChatGPTにしてもらったらどうなるかを検証した研究報告を発表した。

[山下裕毅, ITmedia] ()
Innovative Tech:

米テキサス大学サンアントニオ校と米コロラド大学コロラドスプリングス校に所属する研究者らは、スマートフォンやスマートスピーカーの音声アシスタント(Siri、Google Assistant、Alexa、Cortana)に対する不可聴攻撃を提案した研究報告を発表した。

[山下裕毅, ITmedia] ()
Innovative Tech:

青山学院大学の伊藤研究室に所属する研究者らは、飲む際に飲み口だけを瞬時に冷温できるタンブラー型デバイスを提案した研究報告を発表した。

[山下裕毅, ITmedia] ()
Innovative Tech:

東海大学に所属する研究者らは、QRコードへのレーザー照射により、任意のタイミングで悪性サイトへ誘導可能な偽装QRコードを生成する方法を提案した研究報告を発表した。

[山下裕毅, ITmedia] ()
Innovative Tech:

英国の数学者らと、カナダのウォータールー大学と米アーカンソー大学に所属する研究者らは、繰り返しパターンを作らず、2次元の表面を無限に敷き詰めることができる単一のタイル形状を発見した研究報告を発表した。

[山下裕毅, ITmedia] ()
Innovative Tech:

北海道大学、群馬大学、奈良先端科学技術大学院大学、千葉工業大学に所属する研究者らは、漫画の見開きページのコマ枠のみから、深層学習モデルで作品を分類できるか検証した研究報告を発表した。

[山下裕毅, ITmedia] ()
Innovative Tech:

米MITやカナダのビクトリア大学に所属する研究者らは、CやC++に匹敵する実行速度が実現できるPythonベースのコンパイラを提案した研究報告を発表した。

[山下裕毅, ITmedia] ()
Innovative Tech:

中国のShanghai Fudan Microelectと復旦大学に所属する研究者らは、Tesla Model 3のキーカードとフォンキーの脆弱性を利用し、ドアのロック解除から運転までを可能にした研究報告を発表した。

[山下裕毅, ITmedia] ()
Innovative Tech:

札幌市立大学と大阪芸術大学に所属する研究者らは、実世界の位置情報データをレトロRPGゲーム風に変換する手法を提案した研究報告を発表した。

[山下裕毅, ITmedia] ()
Innovative Tech:

米カーネギーメロン大学に所属する研究者らは、より人間に近い会話の音声合成を生成できる学習モデルを提案した研究報告を発表した。

[山下裕毅, ITmedia] ()
Innovative Tech:

ドイツやオランダなどの研究者らは、WhatsAppなどのメッセンジャーアプリにおいて、メッセージを送信することで受信者の位置を特定できる攻撃を提案した研究報告を発表した。

[山下裕毅, ITmedia] ()
Innovative Tech:

ドイツの研究チームは、民生用ドローンの主要メーカーであるDJI社が販売するドローンの無線信号を解読して、ドローンと操縦者の位置を特定できる攻撃を提案した研究報告を発表した。

[山下裕毅, ITmedia] ()
Innovative Tech:

ソニーコンピュータサイエンス研究所(CSL)フェロー・副所長であり東京大学大学院情報学環の暦本純一教授は、声をひそめる“ささやき声”や“かすれ声”を通常の音声にリアルタイムに変換する機械学習モデルを提案した研究報告を発表した。

[山下裕毅, ITmedia] ()
Innovative Tech:

立命館大学の村尾研究室に所属する研究者らは、上腕を圧迫して血流を止めることでビデオゲーム制御を行う手法を提案した研究報告を発表した。

[山下裕毅, ITmedia] ()
Innovative Tech:

米MIT(Massachusetts Institute of Technology)と米ミシガン大学に所属する研究者らは、段ボール箱や大量の物に隠れたアイテムの場所を特定し、教えてくれるARヘッドセットを提案した研究報告を発表した。

[山下裕毅, ITmedia] ()
Innovative Tech:

中国の清華大学、上海交通大学に所属する研究者らは、微小な声もしくは発声障害などできちんと出せない声などを通常の音量の声に変換してくれる人工喉を提案した研究報告を発表した。

[山下裕毅, ITmedia] ()
Innovative Tech:

中国の浙江大学とHIC-ZJUに所属する研究者らは、スマートデバイスで盗聴する行為を防止するための装置を提案した研究報告を発表した。

[山下裕毅, ITmedia] ()
Innovative Tech:

大阪大学大学院生命機能研究科と情報通信研究機構CiNetに所属する研究者らは、潜在拡散モデルを用い、人間の脳活動から画像を生成する手法を提案した研究報告を発表した。

[山下裕毅, ITmedia] ()
Innovative Tech:

韓国電気研究院(KERI)と蔚山科学技術大学校(UNIST)に所属する研究者らは、3Dプリンタを用いてスマートコンタクトレンズが作成できる技術を提案した研究報告を発表した。

[山下裕毅, ITmedia] ()
Innovative Tech:

イスラエルのWeizmann Institute of ScienceとNVIDIA Researchに所属する研究者らは、テキスト入力だけから高速に移動する永久シーンを生成する学習ベースのモデルを提案した研究報告を発表した。

[山下裕毅, ITmedia] ()
Innovative Tech:

オーストラリアのニューサウスウェールズ大学に所属する研究者らは、カテーテルベースの細長いソフトロボットを体内に挿入し、目的の臓器上に直接生体材料を3Dプリントする手法を提案した研究報告を発表した。

[山下裕毅, ITmedia] ()
Innovative Tech:

ドイツの研究機関CISPA Helmholtz Center for Information Securityに所属する研究者らは、テキストから画像を生成するモデルで生成した画像からテキストプロンプトを盗用する攻撃を提案した研究報告を発表した。

[山下裕毅, ITmedia] ()
Innovative Tech:

中国の上海科技大学、上海交通大学、United Imaging Intelligenceに所属する研究者らは、レントゲンなどの医療画像から自動診断した症状をChatGPTがチャット形式で教えてくれるシステムを提案した研究報告を発表した。

[山下裕毅, ITmedia] ()
Innovative Tech:

香港の法律事務所Albert Luk Chambersと香港中文大学に所属する研究者らは、実際の判例を題材にChatGPTに法律文書の作成と法的調査を複数出力させ考察した研究報告を発表した。

[山下裕毅, ITmedia] ()
Innovative Tech:

米UC Berkeley、ドイツのRWTH Aachen、米国のテクノロジー企業Unanimous AIに所属する研究者らは、VRリズムゲーム「Beat Saber」(ビートセイバー)のプレイヤーの動きからその人を特定する機械学習モデルを提案した研究報告を発表した。

[山下裕毅, ITmedia] ()
Innovative Tech:

スイスのETH ZurichとUniversity of Zurichに所属する研究者らは、脳内血管に音響で操作できるマイクロロボットを挿入する手法を提案した研究報告を発表した。

[山下裕毅, ITmedia] ()
Innovative Tech:

東京大学とソニーコンピュータサイエンス研究所(CSL)に所属する研究者らは、口パク(無声発話)を検出し、スマートフォンの入力に使用できるモバイルアプリケーションを提案した研究報告を発表した。

[山下裕毅, ITmedia] ()
Innovative Tech:

ハンガリーのEotvos Lorand Universityに所属する研究者らは、子犬、子猫、狼の子に対して、事前の訓練や食べ物の報酬がなくても、人が行った行動を観察してまねするかを検証した研究報告を発表した。

[山下裕毅, ITmedia] ()
Innovative Tech:

米ペンシルベニア州立大学と米ミシシッピ大学に所属する研究者らは、自然言語生成モデルが剽窃(ひょうせつ)している可能性を分析した研究報告を発表した。

[山下裕毅, ITmedia] ()
Innovative Tech:

米カリフォルニア工科大学に所属する研究者らは、四肢まひの参加者が話したり話すまね(口パク)をしたりせず、単に考えている単語を脳から予測できるブレイン・マシン・インタフェース(BMI)を提案した研究報告を発表した。

[山下裕毅, ITmedia] ()
Innovative Tech:

米ノースカロライナ州立大学に所属する研究者らは、交差点内に多くの自動運転車が入ってくると白色が点灯する新しいコンセプトの信号機システムを提案した研究報告を発表した。

[山下裕毅, ITmedia] ()
Innovative Tech:

米コロンビア大学に所属する研究者らは、患者の手の形に応じた手袋型の3D人工皮膚を生成し、グローブをはめるように手を覆って移植する手法を提案した研究報告を発表した。

[山下裕毅, ITmedia] ()
Innovative Tech:

クロアチアのスプリット大学に所属する研究者らは、ChatGPTを利用して論文を書く学生グループと、従来の方法で論文を書くグループとを比較し、執筆スピードや内容の質などを評価した研究報告を発表した。

[山下裕毅, ITmedia] ()
Innovative Tech:

Google ResearchとイスラエルのThe Hebrew University of Jerusalemに所属する研究者らは、テキストに応じた動画編集ができる拡散モデルを提案した研究報告を発表した。

[山下裕毅, ITmedia] ()
Innovative Tech:

Google Researchに所属する研究者らがは、歌声からその歌に適した伴奏を生成する機械学習モデルを提案した研究報告を発表した。

[山下裕毅, ITmedia] ()
Innovative Tech:

米Google、米DeepMind、スイスのETH Zurich、米プリンストン大学、米UC Berkeleyに所属する研究者らは、テキストから画像を生成する拡散モデルが学習データとほぼ同じ画像を生成していたことを実証した研究報告を発表した。

[山下裕毅, ITmedia] ()
Innovative Tech:

米カリフォルニア大学サンディエゴ校に所属する研究者らは、心臓の動きを超音波画像で可視化する、胸に貼る薄型の皮膚パッチを提案した研究報告を発表した。

[山下裕毅, ITmedia] ()
Innovative Tech:

東京大学などの研究チームは「日本国内におけるメールセキュリティに関する実態把握」の研究報告を発表した。

[山下裕毅, ITmedia] ()
Innovative Tech:

ドイツのJohannes Gutenberg University Mainzと英University College Londonに所属する研究者らは、ChatGPTが自動バグ修正にどれほどの精度を発揮するのかを検証した研究報告を発表した。

[山下裕毅, ITmedia] ()
Innovative Tech:

英エセックス大学に所属する研究者は、ユーザーの脳波を記録し解読することで、今聞いている音楽を特定し復元する深層学習モデルを提案した研究報告を発表した。

[山下裕毅, ITmedia] ()
Innovative Tech:

米ワシントン大学に所属する研究者らは、抵抗とアンテナをつなぐスイッチを接続・切断するだけで、情報を無線送信できる新しい超低消費電力通信方式を提案した研究報告を発表した。

[山下裕毅, ITmedia] ()
Innovative Tech:

中国の上海財経大学などに所属する研究者らは、ChatGPTと人間の専門家が答える内容のそれぞれの特徴や違いを調査した研究報告を発表した。

[山下裕毅, ITmedia] ()
Innovative Tech:

米国立衛生研究所(NIH)、英オックスフォード大学、米ノースウェスタン大学に所属する研究者らは、動画内の音声の変化を分析し、話者が新型コロナウイルス感染症に感染しているかどうかを検出する機械学習モデルを提案した研究報告を発表した。

[山下裕毅, ITmedia] ()
Innovative Tech:

カナダのウォータールー大学に所属する研究者らは、プロジェクターを取り付けた椅子を提案した研究報告を発表した。

[山下裕毅, ITmedia] ()
Innovative Tech:

英バーミンガム大学に所属する研究者らは、サーバ用マザーボードに搭載する制御システムの欠陥を攻撃し、遠隔から必要以上の電圧を供給してCPUを破壊しコンピュータを無効にする脆弱性を指摘した研究報告を発表した。

[山下裕毅, ITmedia] ()
Innovative Tech:

スマートフォンやノートPC、電気自動車などで使用するリチウムイオン電池は、長年使っていると充電の減りが早くなる。カナダのダルハウジー大学に所属する研究者らは、そんなリチウムイオン電池が自己放電する理由を実験中に明らかにした。

[山下裕毅, ITmedia] ()
Innovative Tech:

オーストラリアのLa Trobe UniversityとDeakin Universityに所属する研究者らは、12秒間の発話に基づいて個人の酩酊(めいてい)状態を予測できる機械学習モデルを提案した研究報告を発表した。

[山下裕毅, ITmedia] ()
Innovative Tech:

立命館大学とデジタルスピリッツテック社の五十嵐雄也、双見京介、村尾和哉らは、口パク(無声発話)による音声入力が行えるメガネ型デバイスと耳掛け型マイクデバイスを提案した研究報告を発表した。

[山下裕毅, ITmedia] ()
Innovative Tech:

イタリアのトレント大学などに所属する研究者らは、約1万の糞と唾液を採取し、世帯内外の個人間でどの程度細菌が広がるかを調査した研究報告を発表した。

[山下裕毅, ITmedia] ()
Innovative Tech:

東京大学情報理工学系研究科と東京大学先端科学技術研究センターに所属する研究者らは、サッカーのPK(ペナルティーキック)において、蹴る方向を予測する機械学習モデルの開発した。

[山下裕毅, ITmedia] ()
Innovative Tech:

米ノース・テキサス大学、米ワシントン州立大学、米オクラホマ州立大学に所属する研究者らは、リモートワーカーに雇用主の情報技術セキュリティを守らせるために効果的な方法は何かを調査した研究報告を発表した。

[山下裕毅, ITmedia] ()
Innovative Tech:

米Chicago-Kent College of Lawに所属する研究者らは、OpenAIの大規模言語モデル「GPT-3.5」で米国司法試験を受けるとどうなるかを検証した研究報告を発表した。

[山下裕毅, ITmedia] ()
Innovative Tech:

スイスのチューリッヒ工科大学(ETH)に所属する研究者らは、生きた菌を混ぜて3Dプリンタで造形した、自己修復可能なロボットの皮膚の開発手法を提案した研究報告を発表した。

[山下裕毅, ITmedia] ()
Innovative Tech:

米スタンフォード大学、米UCLA、カナダのウォータールー大学に所属する研究者らは、Wi-Fi機器に偽のデータパケットを継続的に送信することで、その機器の充電を急速に低下させる攻撃を提案した研究報告を発表した。

[山下裕毅, ITmedia] ()
Innovative Tech:

米スタンフォード大学、韓国のKAIST、ソウル大学校、建国大学校に所属する研究者らは、手の甲や腕に直接吹きかけたスプレーで皮膚の伸縮を電気的に検知し、手の動きを機械学習モデルで認識する手法を提案した研究報告を発表した。

[山下裕毅, ITmedia] ()
Innovative Tech:

バイオテクノロジー企業Insilico Medicine社のAlex Zhavoronkov氏とOpanAIのChatGPTGenerative Pre-trained Transformerは、OpenAIが開発したChatGPTと協力し、共同執筆した研究報告を発表した。

[山下裕毅, ITmedia] ()
Innovative Tech:

米デューク大学などの研究チームは、DNAの配列をナノメートルの精度で曲げたり折ったりして、複雑な3次元の物体を作るソフトウェアツールを提案した研究報告を発表した。

[山下裕毅, ITmedia] ()
Innovative Tech:

米テキサスA&M大学に所属する研究者らは、2次元コードなどの情報データを金属製品に金属積層造形技術を用いて埋め込む技術を提案した研究報告を発表した。

[山下裕毅, ITmedia] ()
Innovative Tech:

ロシアのアンチウイルス製品を開発するDoctor Webは、WordPress CMSをベースとしたWebサイトをハッキングする悪意のあるLinuxプログラムを発見したと発表した。

[山下裕毅, ITmedia] ()
Innovative Tech:

Microsoft Researchに所属する研究者らは、人物の静止画像やテキストプロンプトから高品質な3Dアバターを生成する拡散モデルを提案した研究報告を発表した。

[山下裕毅, ITmedia] ()
Innovative Tech:

神戸大学塚本・寺田研究室に所属する研究者らは、ビデオ会議において、目や口といった顔の一部分だけを表示した際の影響を調査した研究報告を発表した。

[山下裕毅, ITmedia] ()
Innovative Tech:

筑波大学と北海道大学に所属する研究者らは、イヤフォンの音漏れを利用して耳を覆いかぶすように手を添えてハンドジェスチャー入力を行う手法を提案した研究報告を発表した。

[山下裕毅, ITmedia] ()
Innovative Tech:

米University of California San Diegoに所属する研究者らは、ヘモグロビンを含む深部組織の生体分子をモニタリングできる皮膚に貼れる光音響ベースの電子パッチを提案した研究報告を発表した。

[山下裕毅, ITmedia] ()
Innovative Tech:

KAIST(韓国科学技術院)と米イリノイ大学アーバナ・シャンペーン校に所属する研究者らは、金属製の建物や構造物の壁や天井を登ることができる、磁気を帯びた脚を持つ作業用4足歩行ロボットを提案した研究報告を発表した。

[山下裕毅, ITmedia] ()
Innovative Tech:

アメリカ国立標準技術研究所(NIST)と米Center for Devices and Radiological Health(CDRH)に所属する研究者らは、既存のWi-Fiルーターを使って部屋にいる人の呼吸運動をモニタリングする手法を提案した研究報告を発表した。

[山下裕毅, ITmedia] ()
Innovative Tech:

香港城市大学などに所属する研究者らは、手のひらへの電気刺激で触覚を着用者に与えるVR向け極薄ハプティクスデバイスを提案した研究報告を発表した。

[山下裕毅, ITmedia] ()
Innovative Tech:

米ジョージア工科大学に所属する研究者らは、トイレに設置したセンサーで排便の音を録音し、下痢かどうかを判断する機械学習モデルを提案した研究報告を発表した。コレラなどの腸に関する病気の早期発見に役立てたいという。

[山下裕毅, ITmedia] ()
Innovative Tech:

イスラエルのBen-Gurion University of the Negevに所属する研究者は、ネットに接続していないコンピュータ(エアギャップPC)を離れた場所から無線でハッキングするサイバー攻撃を提案した研究報告を発表した。

[山下裕毅, ITmedia] ()
Innovative Tech:

東北大学北村・高嶋研究室に所属する研究者らは、三角形が変形することで取り付けたモバイル機器(スマートフォンやタブレットなど)の高さや傾きが変えるデスクトップスタンド装置を提案した研究報告を発表した。

[山下裕毅, ITmedia] ()
Innovative Tech:

東京工業大学、NTTコミュニケーション科学基礎研究所、京都大学に所属する研究者らは、エアホッケーのパックを「消える魔球」のように意図的に見えなくする手法や、運動方向を「曲がる魔球」のように操作する手法を提案した研究報告を発表した。

[山下裕毅, ITmedia] ()
Innovative Tech:

米ロチェスター工科大学とカナダのウォータールー大学に所属する研究者らは、PIN(Personal Identification Numbers)コード(パスコード)において、数字を押さずに入力する視覚障害者向けの手法を提案した研究報告を発表した。

[山下裕毅, ITmedia] ()
Innovative Tech:

韓国の高麗大学校とLGエレクトロニクスに所属する研究者らは、部屋に設置したエアコンから出る温冷風をARで表現できるシステムを提案した研究報告を発表した。

[山下裕毅, ITmedia] ()
Innovative Tech:

米スタンフォード大学などに所属する研究者らは、創傷部に貼り付け、治り具合に応じて電気刺激で治癒させる電子バンソウコウを提案した研究報告を発表した。

[山下裕毅, ITmedia] ()
Innovative Tech:

米オハイオ州立大学に所属する研究者らは、Bluetoothを使用するモバイル機器には、攻撃者がユーザーの位置を追跡できる不具合があることを実証した研究報告を発表した。

[山下裕毅, ITmedia] ()
Innovative Tech:

電気通信大学野嶋研究室に所属する四條らの研究チームは、「獣の耳」(けもみみ)の動的姿勢とそれが与える感情を調査した研究報告を発表した。けもみみの動きによって、その動作を見ている者がどのように感じるかを調査した。

[山下裕毅, ITmedia] ()
Innovative Tech:

韓国のソウル大学校と米ジョージア工科大学に所属する研究者らは、人が直感的に4足歩行ロボットを制御できる手法を提案した研究報告を発表した。

[山下裕毅, ITmedia] ()
Innovative Tech:

米セントルイス・ワシントン大学、米テネシー大学に所属する研究者らは、熱画像で隠しカメラを見つけられるアプリを提案した研究報告を発表した。

[山下裕毅, ITmedia] ()
Innovative Tech:

Google ResearchとイスラエルのTel Aviv Universityに所属する研究者らは、落書きのようにざっと描いた絵を入力テキストに従って詳細な画像を生成する深層学習モデルを提案した研究報告を発表した。

[山下裕毅, ITmedia] ()
Innovative Tech:

ドイツのUniversity of Duisburg-Essen、University of the Bundeswehr、KUKAに所属する研究者らは、スマートフォンを後方からのぞき見られている状況を調査した研究報告を発表した。

[山下裕毅, ITmedia] ()
Innovative Tech:

米ビンガムトン大学とIntel Labsに所属する研究者らは、写真内に写る指定した顔を実在しない偽の顔(ディープフェイク)に変換する深層学習モデルを提案した研究報告を発表した。

[山下裕毅, ITmedia] ()
Innovative Tech:

中国科学技術大学と米カンザス大学に所属する研究者らは、他人のBluetooth対応機器と接続し乗っ取るサイバー攻撃を提案した研究報告を発表した。

[山下裕毅, ITmedia] ()
Innovative Tech:

中国の浙江大学に所属する研究者らは、レーザー光を自動運転車のLiDARに照射し、敵対的な点群を注入することで3次元物体検出を欺く攻撃を提案した研究報告を発表した。

[山下裕毅, ITmedia] ()
Innovative Tech:

中国の浙江大学、上海交通大学、Microsoft Research Asiaに所属する研究者らは、オフラインの隠しボイスレコーダーを検出するシステムを提案した研究報告を発表した。

[山下裕毅, ITmedia] ()
Innovative Tech:

チェコのBrno University of Technology、米Louisiana State University、米University of New Havenに所属する研究者らは、他人のVR HMDとコンピュータに侵入してソーシャルVRを介した攻撃が可能なことを実証した研究報告を発表した。

[山下裕毅, ITmedia] ()
Innovative Tech:

チェコのBrno University of Technology、米Louisiana State University、米University of New Havenに所属する研究者らは、他人のVR HMDとコンピュータに侵入してソーシャルVRを介した攻撃が可能なことを実証した研究報告を発表した。

[山下裕毅, ITmedia] ()
Innovative Tech:

お茶の水女子大学、東京大学、ヤフー株式会社、東京工科大学に所属する研究者らは、食品表面に金箔を貼ることで回路の一部とし、食べた際に電気刺激により味が変わる技術を提案した研究報告を発表した。

[山下裕毅, ITmedia] ()
Innovative Tech:

明治大学宮下研究室に所属する研究者らは、MacBook Pro(2021)のノッチ部分(描画が行われない黒い領域)によってカーソルが隠れ、マウス操作が遅れることで作業効率が低下する問題を改善した研究報告を発表した。

[山下裕毅, ITmedia] ()
Innovative Tech:

早稲田大学中島達夫研究室、カタールのQatar Universityの研究者らは、肩の上で動作するヘビ型ウェアラブルロボットを提案した研究報告を発表した。肩から出た8自由度のロボットを、遠隔から別のユーザーが視覚と聴覚のフィードバックを受けながら操作する。

[山下裕毅, ITmedia] ()
Innovative Tech:

中国の浙江大学とHIC-ZJU、崑山杜克大学、米University of Colorado Denver、米SUNY Buffaloによる研究チームは、スマートフォンで話している相手の声を最大8m先から盗聴できる攻撃を提案した研究報告を発表した。

[山下裕毅, ITmedia] ()